عفونت لثه نوعی بیماری پیشرفته لثه است که معمولاً به دلیل تجمع باکتریهای دهان به وجود میآید. برای درمان عفونت لثه میتوانید از دهانشویه گیاهی و خانگی شامل شستوشوی دهان با آب نمک،ترکیب زردچوبه و جوش شیرین و دمنوشهای گیاهی دمنوش بابونه، سرخارگل، نعناع، مریمگلی، شیرینبیان و گزنه استفاده کنید. برای درمانهای دارویی از بهترین آنتی بیوتیک برای عفونت لثه مانند داکسی سیلین، کلر هگزیدین، مینوسایکلین، آموکسی کلاو، ازیترومایسین، آموکسی سیلین، تیکارسیلین، کلیندامایسین و تیکارسیلین تحت نظر پزشک میتوانند برای کنترل عفونت استفاده کنید. عفونت لثه باعث التهاب و عفونت شدید لثه و آسیب به بافتهای نگهدارنده دندان میشود. از نشانههای قرمزی و تورم لثه، خونریزی هنگام مسواک زدن، جستجو یرای درمان بوی بد دهان، درد مداوم و حتی ترشح چرک از لثه میتوان اشاره کرد.
| علائم عفونت لثه | توضیحات | روشهای درمان عفونت لثه | توضیحات |
|---|---|---|---|
| خونریزی لثه | زمان نخ دندان کشیدن، مسواک زدن یا جویدن. | جرمگیری | مناسب برای مراحل اولیه عفونت (ژنژیویت). حذف پلاکها و جرمها از تحریک لثه جلوگیری میکند. |
| التهاب و قرمزی | لثهها متورم شده و به رنگ قرمز پررنگ درمیآیند. | آنتیبیوتیک | تجویز توسط دندانپزشک؛ شامل داروهایی مانند داکسیسیلین و آموکسیسیلین برای کاهش باکتریها. |
| بوی بد دهان | بوی نامطبوع مداوم که با مسواک زدن رفع نمیشود. | جراحی فلپ | پاکسازی عمیق بافتهای زیر لثه و بخیه زدن دوباره لثه به محل اصلی. |
| درد | درد در ناحیه دندان، لثه، فک یا حتی سر و گوش. | پیوند لثه | اضافه کردن بافت سالم به لثههای تحلیلرفته؛ بهبود سلامت کلی دهان. |
| پسروی لثه | عقبرفتگی لثه و نمایان شدن بیشتر دندانها. | پیوند استخوان | پیچیدهترین روش با نتایج بلندمدت؛ مناسب برای درمان پیشرفته عفونت. |
| لقی دندان | افتادن یا لقی دندانهای دائمی. | افزایش طول تاج دندان | کاهش میزان پوشش دندانها توسط بافت لثه برای رفع چرک. |
| چرک و ترشح | چرک در مراحل پیشرفته بین دندانها و لثه دیده میشود. | درمان خانگی | شامل دهانشویههای طبیعی مانند آب و نمک و دمنوشهای گیاهی. |
روشهای درمان عفونت لثه
چگونه عفونت لثه را از بین ببریم؟ روشهای مختلفی مثل جرمگیری، تجویز آنتی بیوتیک، جراحی فلپ و طول تاج، پیوند استخوان فک و لثه و ….. برای درمان این بیماری وجود دارند، دندانپزشک بعد از معاینه دقیقه استخوان فک و بافت لثه بیمار، بررسی میزان شدت و پیشرفت عفونت در بافت لثه و در نظر گرفتن شرایط عمومی بیمار مثل سن، وضعیت روانی، مالی و ….. بهترین روش درمان عفونت دندان و لثه را پیشنهاد میکند.
قبل از بررسی داروهای مورد نیاز برای جلوگیری از عفونت لثه توجه شما را به مقاله جراحی پیوند لثه توجه بفرمایید.
جرمگیری
زمانی که عفونت لثه در مرحله اولیه ژنژیویت (Gingivitis) است میتوان از جرمگیری دندان برای درمان آن کمک گرفت، در فرایند جرمگیری به علت از بین رفتن کامل تمامی جرمها و پلاکهای تشکیل شده روی دندان از تحریک و افزایش میزان چرک در لثه جلوگیری میشود و اگر این بیماری درمراحل اولیه باشد انجام جرمگیری مانع ایجاد پریودنتیت خواهد شد.


آنتی بیوتیک برای عفونت لثه و دندان
به دلیل اینکه بیماری عفونت لثه، ریشه عفونی داشته و رشد باکتریها در میان بافتهای لثه عامل اصلی ایجاد عفونت در لثه هستند میتوان به کمک آنتیبیوتیکها میکروب های رشد یافته روی لثه و دندانها را از بین برد و در نتیجه از شر آن خلاص شد، البته آنتی بیوتیک برای درمان بیماری حتما باید با تجویز دندانپزشک مصرف شود چون ریشه ایجاد عفونت در هر بیماری متفاوت است و دندانپزشک پس از معاینه بیمار و بررسی علامتها داروی متناسب با عفونت ایجاد شده را تجویز میکند.
انتخاب بهترین آنتیبیوتیک برای عفونت لثه به شدت عفونت و نوع باکتریهای عامل بستگی دارد. معمولاً دندانپزشک بر اساس وضعیت بیمار و بررسی دقیق، داروی مناسب را تجویز میکند. بدون تجویز پزشک، آنتیبیوتیک مصرف نکنید. مصرف خودسرانه میتواند منجر به مقاومت باکتریایی شود. رایجترین قرص عفونت لثه عبارتاند از:


- داکسی سیلین
- کلر هگزیدین
- مینوسایکلین
- داکسی سیلین
- آموکسی کلاو
- اریترومایسین
- آموکسی سیلین
- تیکارسیلین
- کلیندامایسین
- تیکارسیلین
موارد بالا بهترین دارو برای عفونت لثه بزرگسالان هستند که طبق نظر پزشک باید مصرف شوند.
جراحی لثه
زمانهایی که جرمگیری و تجویز آنتی بیوتیک برای درمان التهاب لثه موثر نباشند از جراحی لثه کمک گرفته میشود، جراحی لثه یک روش تهاجمی درمانی عفونت لثه محسوب میشود که میتوان به کمک آن در زمان کوتاه شدیدترین عفونتهای لثهای را از بین برد. درمان جراحی عفونت لثه شامل 4 جراحی به نامهای فلپ، پیوند لثه، افزایش طول تاج دندان و پیوند استخوان است که بر اساس نیاز بیمار و نظر دندانپزشک یکی از جراحیها برای درمان این بیماری انجام میشوند.
جراحی فلپ
در جراحی فلپ لثه، دندانپزشک با ایجاد برشهای ظریف و منظم روی لثه، بافت لثه را از روی دندان جدا کرده و سپس با کمک دستگاههای مخصوص و مواد ضدعفونی کننده دندانپزشکی جرمها و باکتریهای ناحیه زیر بافت لثه و روی دندانها را کاملا پاکسازی کرده و در نهایت پس از اتمام کار لثه به جای اصلی خود بخیه زده میشود.
پیوند لثه
پیوند لثه یکی از بیخطرترین روشهای درمان عفونت لثه محسوب میشود که میتواند به خوبی از تشدید و پیشرفت التهاب لثه به بافتهای اطرف لثه و دهان جلوگیری کند، دندانپزشک برای پیوند لثه ابتدا یک تکه گرفت یا بافت از سقف دهان بیمار جدا میکند و آن را به ناحیه ریشه دندان و محل عفونت پیوند میزند. در صورتی که قصد دارید بدانید پیوند لثه چیست، روی لینک مورد نظر کلیک کنید.
طبق نظر سایت my.clevelandclinic:
Gum graft surgery is a dental procedure for treating thinning gums or gum recession. Gum grafting covers exposed teeth roots and adds volume to your gum line, improving overall oral health. Recovery usually takes one week to two weeks, but it may take longer. Gum grafting has a good success rate and can reduce your risk of severe gum disease.
جراحی پیوند لثه یک روش دندانپزشکی برای درمان نازک شدن لثه یا تحلیل لثه است. پیوند لثه ریشه های دندان های در معرض دید را می پوشاند و به خط لثه شما حجم می دهد و سلامت کلی دهان را بهبود می بخشد. بهبودی معمولاً یک هفته تا دو هفته طول می کشد، اما ممکن است بیشتر طول بکشد. پیوند لثه میزان موفقیت خوبی دارد و می تواند خطر ابتلا به بیماری شدید لثه را کاهش دهد.
پیوند استخوان فک
پیوند استخوان فک نسبت به سایر روشهای درمانی جراحی رفع عفونت لثه پیچیدگی بیشتر و دوران نقاهت طولانیتری دارد اما نتایج آن بلند مدت است و برای همیشه مشکل عفونت دندان را به صورت ریشهای درمان میکند، برای انجام جراحی پیوند استخوان فک دندانپزشک در ابتدا بافت لثه را از دندانها جدا کرده و سپس بافت استخوانی سازگار با فک و دهان بیمار را به ناحیه لثه و فک بیمار پیوند میزند. برای اطلاعات بیشتر در این زمینه به مقاله پیوند استخوان برای ایمپلنت دندان مراجعه کنید.
افزایش طول تاج دندان
یکی از مهمترین دلایل چرک کردن لثه بلند بودن غیر طبیعی لثهها میباشد در چنین شرایطی از جراحی افزایش طول تاج دندان برای کاهش میزان پوشش دندانها توسط بافت لثه استفاده میشود و به راحتی با افزایش طول تاج دندان این مشکل نیز برطرف میشود.
درمان خانگی عفونت لثه
همیشه امکان دسترسی به دندانپزشک متخصص برای درمان عفونت دندان و لثه امکان پذیر نیست و در این شرایط ناچارا باید از روشهای درمان خانگی و استفاده از داروی گیاهی برای عفونت لثه و دندان برای بهبود خروج چرک از لثه کمک گرفت البته روشهای درمان خانگی، این مشکل را به صورت ریشهای حل نمیکنند و تنها ممکن است مقداری از درد و التهاب ناشی از التهاب لثه را کاهش دهند.
دمنوشهای گیاهی برای کاهش عفونت و التهاب لثه
داروهای گیاهی که خاصیت ضد التهابی، ضد عفونی و تسکین درد دارند میتوانند برای بهبود التهاب و کاهش انواع التهاب لثه مفید باشند، فقط فراموش نکنید که اگر قصد نوشیدن دمنوشهای گیاهی برای کاهش التهاب عفونت لثه دارید حتما صبر کنید تا دمنوش هم دمای محیط شود و سپس نوش جان کنید و همچنین در نوشیدن دمنوشهای گیاهی برای کاهش عفونت دندان زیاده روی نکنید تا دچار مشکلات گوارشی نشوید.
برخی از بهترین دمنوشهای گیاهی درمان انواع عفونت لثه شامل موارد زیر است:
- دمنوش بابونه
- دمنوش سرخارگل
- دمنوش شیرین بیان
- دمنوش گزله
- دمنوش نعنا
- دمنوش شاهی
- دمنوش خرفه
- دمنوش مریم گلی
دهانشویه گیاهی برای عفونت لثه
علاوه بر دهانشویههای استریلیزیه بهداشتی، میتوان از ترکیبات گیاهی و طبیعی نیز برای دهانشویه و ضد عفونی دهان و لثهها از باکتریها و عفونت استفاده کرد، ترکیبات طبیعی بسیار وجود دارند که تاثیرات درمانی برای عارضه عفونت لثه دارند.
بهترین دهانشویههای خانگی برای عفونت لثه شامل موارد زیر است:
- ترکیب آب و نمک دریا
- ترکیب 1 قاشق چایخوری زردچوبه، جوش شیرین و آب
- پراکسید هیدروژن
- 2 قاشق روغن نارگیل و 1 استکان آب
- ترکیب 2 قاشق روغن کنجد و 1 استحکان آب
- 1 قاشق چایخوری اسانس پونه کوهی و 1 استکان آب
- 1 قاشق چایخوری اسانس میخک و 1 استکان آب
- 1 قاشق چایخوری اسانس آویشن و 1 استکان آب
پیش از بررسی روش های پیشگیری از التهاب لثه از شما دعوت می کنیم به مقاله کورتاژ لثه هم سر بزنید.
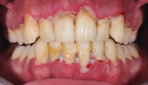
علائم عفونت لثه
عفونت دهان و لثه یکی از بیماریهای خاموش دهان و دندان محسوب میشود و دانستن اینکه چرا لثه عفونت میکند بسیار مهم است. که در بیشتر از 80% در مواقع بدون هیچ علامتی ظاهر میشود و تنها دندانپزشک پس از معاینه دقیق متوجه وجود آن خواهد شد. اما گاهی اوقات این عارضه همراه علائم خاصی پدیدار میشود که در حقیقت این علائم زنگ خطرهای این بیماری هستند و در صورت مشاهده هر کدام باید در سریعترین زمان ممکن برای پیشگیری از رشد عفونت و درمان به دندانپزشک متخصص مراجعه کنید.


از کجا بفهمیم عفونت لثه داریم؟


- خونریزی لثه زمان نخ دندان کشیدن، مسواک زدن یا جویدن
- التهاب، افزایش حساست و متمایل شدن رنگ لثهها به قرمز پررنگ
- پسروی و عقب رفتن دندانها
- بوی بد دهان: بوی نامطبوع مداوم که با مسواک زدن رفع نمیشود، ممکن است نشانهای از عفونت باشد.
- احساس درد در ناحیه دندان و لثه، فک، سر و گوش
- احساس طعم ترشی یا تلخی در دهان
- لقی یا افتادن دندانهای دائمی
- به همریختن نظم دندانها
- ترشح چرک: در مراحل پیشرفته، ممکن است چرک بین دندانها و لثه دیده شود.
دلایل عفونت لثه چیست؟
علت عفونت لثه مختلف است، مثل عوارض بعد از مصرف برخی از داروها، تغییرات هورمونی بانوان در بازههای زمانی خاص، نقص سیستم ایمنی بدن به علت مبتلا بدن به بیماریهای مزمن مثل ایدز و دیابت، اختلالات اضطرابی، سبک زندگی ناسالم و ….. ایجاد میشود، در ادامه به صورت کامل علت التهاب لثه را مرور کردیم و شما میتوانید با آشنایی با این محرکهای ایجاد چرك كردن لثه دندان از آنها دوری کنید تا از خطر مبتلا شدن به این بیماری درامان باشید.
دیابت
بیماریهای قندی به ویژه دیابت با کاهش دادن سطح ایمنی بدن و همچنین رشد باکتریها، تا حد زیادی زمینه بروز التهابات مختلف در قسمتهای مختلف بدن را فراهم میسازند. از این رو افراد مبتلا به دیابت، به شدت در معرض عفونت شدید لثه قرار دارند. بدین جهت توصیه میکنیم ضمن آگاهی یافتن نسبته به علائم عفونت لثه، در صورت مشاهده التهاب و چرک لثه، سریعاً به متخصص دهان و دندان مراجعه نمایید. تا ضمن تشخیص سریع و دقیق، اقدامات لازم را برای درمان لثه ملتهب و سایر عفونتهای مرتبط با آن انجام دهد.
تغییرات هورمونی در زنان به ویژه ایام بارداری
معمولاً خانمها به دلایل مختلف دچار تغییرات هورمونی میشوند. این مورد اغلب در دوران بارداری آنها دیده میشود و یکی دیگر از علتهای اصلی بروز التهاب لثه به شمار میرود. البته اگر این تغییرات هورمونی در زمان مناسب تشخیص داده شده و کنترل شود، خطر ابتلا به عفونتهای لثه، فک و دهان به حداقل میزان ممکن میرسد.
ژنتیک
مثل سایر عفونتها و بیماریها، عامل ژنتیک نیز به عنوان یک مورد اصلی و مهم مورد توجه متخصصین دهان و دندان و بیماریهای عفونی قرار گرفته است. البته افرادی که از نظر ژنتیکی به چرک کردن لثه مبتلا میشوند، با مصرف مواد غذایی و دارویی مناسب، خطر ابتلا به عفونت و چرک لثه را به حداقل میزان ممکن برسانند. عامل ژنتیک یکی دیگر از عوامل سیاه شدن رنگ لثه نیز هست.


استرس و اضطراب
همه ما استرس و اضطراب را برای انجام کارهای مهم در زندگیمان تجربه کردهایم. اما باید بدانید که با افزایش استرس و اضطراب، سیستم عصبی بدن به شدت تحت شعاع قرار میگیرد و خطر ابتلا به بیماریهای عفونی نظیر چرک کردن لثه در این دسته از افراد افزایش مییابد. بنابراین تا حد امکان از عوامل استرس زا و چیزهایی که شما را به اضطراب میاندازد، دوری کنید. این کار به نوبه خود تا حد زیادی امکان ابتلا به عقونت لثه را کاهش میدهد.
سیگار کشیدن
ارتباط سیگار با بیماری لثه چیست؟ سیگار کشیدن سیستم ایمنی بدن شما را ضعیف میکند. این امر مبارزه بدن با عفونت لثه را سختتر میکند. در واقع سیگار کشیدن، جریان خون را کاهش داده و در مقابل پلاک و جرم دندان را افزایش میدهند که در نتیجه آن زمینه رشد باکتریها فراهم میشود. افراد سیگاری، بیشتر در معرض عوارض عفونت لثه، از دست دادن دندان و ابتلا به سرطان دهان هستند و دیرتر نیز بهبود مییابند.
استفاده از داروهای خشک کننده دهان
استفاده از داروهای خشککننده دهان مانند آنتیهیستامینها و داروهای ضدافسردگی با کاهش ترشح بزاق باعث خشکی دهان میشود که این وضعیت روند پاکسازی باکتریها و پلاکهای دندانی را مختل میکند. بزاق نقش مهمی در جلوگیری از تجمع باکتریها دارد و کمبود آن میتواند محیط مناسبی برای رشد باکتریها و تشدید عفونت لثه ایجاد کند. برای پیشگیری، افراد باید مصرف آب و مایعات را افزایش دهند، از دهانشویههای مرطوبکننده یا بزاق مصنوعی استفاده کنند و بهداشت دهان و دندان را با دقت رعایت کرده و به دندانپزشک مراجعه کنند.
بهداشت ضعیف دهان و دندان
بهداشت ضعیف دهان و دندان یکی از مهمترین دلیل عفونت لثه است. بیماری لثه با تجمع پلاک که یک لایه چسبنده از باکتری روی دندانها است، شروع میشود. بدون مسواک زدن منظم و نخ دندان نکشیدن پلاکها تبدیل به جرم میشوند. این جرمها، باعث تحریک لثهها شده و التهاب لثه ایجاد میکنند. عفونت لثه باعث خونریزی، تورم و تحلیل لثه خواهد شد. برای جلوگیری از این وضعیت، رعایت بهداشت روزانه دندان و مراجعه منظم به دندانپزشک ضروری است.
قرص های ضد بارداری خوراکی
مطالعات نشان داده است که زنانی که از داروهای ضد بارداری خوراکی استفاده میکنند، شیوع بیشتری از التهاب لثه، از دست دادن چسبندگی و پیشرفت بیماری پریودنتال دارند. این قرصها به دلیل داشتن هورمون و تغییرات هورمونی در بدن، التهاب را افزایش داده و درصد ابتلا به عفونت لثه را افزایش میدهد. در دهان، این سطوح هورمونی متعیر نیز، میتواند یک پاسخ التهابی در لثهها ایجاد کند و علائمی شبیه بیماری لثه ایجاد کند.
سیستم ایمنی ضعیف
به طور کلی سیستم ایمنی بدن تأثیر بسزایی در سلامت دهان و دندان و سایر بخش های بدن دارد. بدین صورت که با افزایش سطح ایمنی از بروز هرگونه عفونت، التهاب و تورم جلوگیری میکند. اما در مقابل سیستم ایمنی ضعیف مستعد انواع باکتری و عفونت میباشد و افرادی که از بیماری نقص یا ضعف سیستم ایمنی رنج میبرند، به شدت در معرض ابتلا به عفونت لثه قرار دارند.


کیج بودن دندان ها
کج بودن دندان یکی از اختلال شایع دهان و دندان میباشد. که هنگام در آمدن دندانهای جدید رخ میدهد و موجب تجمع موادغذایی و باکتری بین دندانها میشود. این مشکل پس از مدتی با التهاب لثه، تورم و عفونت نمایان شده و میبایست سریعاً درمان گردد. پس فاصله افتادن بین دندان ها عامل دیگر است.
داروهای ضد صرع، استروئیدها و داروهای درمان سرطان
برخی داروها مانند داروهای ضد صرع، استروئیدها و داروهای درمان سرطان تأثیر قابلتوجهی در افزایش خطر عفونت لثه دارند. این داروها ممکن است باعثرشد بیش از حد بافت لثه و محیطی مناسب برای تجمع پلاک و عفونت باکتریایی را فراهم کنند. استروئیدها با ضعیف کردن سیستم ایمنی بدن توانایی بدن در مقابله با باکتریهای دهان را کاهش داده و خطر التهاب و عفونت لثه را افزایش میدهند.
عدم رعایت نکات، علت عفونت مکرر لثه خواهد بود. بنابراین در صورتی که علائمی که در بالا به آنها اشاره شد، را مشاهده کردید بدون تاخیر به دندانپزشک مراجعه کنید.


پیشگیری از عفونت لثه
پیشگیری از عفونت لثه بسیار راحت و بیدردسر است تنها کافی است برای جلوگیری از مبتلا شدن به این عارضه، بیشتر به نکات مراقبتی دهان و دندان توجه داشته باشید و تغییرات اندکی در عادات روزمره و سبک زندگیتان ایجاد کنید تا ریسک مبتلا شدن را بیشتر از 90% درصد کاهش دهید.
همان طور که در وبسایت healthline هم آمده است برای پیشگیری از این بیماری باید 3 نکته کلی رعایت شود:
:Proper and consistent oral hygiene can prevent gum disease. This includes
visiting the dentist regularly
brushing your teeth twice daily with fluoride toothpaste
flossing your teeth every day
.Eating a balanced diet is also important to achieving and maintaining dental healthبهداشت دهان و دندان مناسب و مداوم می تواند از بیماری لثه جلوگیری کند. شامل:
- مراجعه منظم به دندانپزشک
- دو بار در روز با خمیردندان فلوراید مسواک بزنید
- هر روز نخ دندان بکشید
خوردن یک رژیم غذایی متعادل برای دستیابی و حفظ سلامت دندان نیز مهم است.
10 نکته ساده برای پیشگیری از عفونت شدید لثه
- رعایت بهداشت دهان و دندان
- مسواک زدن دندان ها به صورت اصولی و دقیق
- استفاده از خمیر دندان حاوی فلوراید
- قرقره کردن آب گرم و نمک بعد غذا
- پرهیز از استعمال دخانیات
- دوری از استرس و اضطراب
- ترک عادات مضر برای دندان ها مثل دندان قروچه
- پرهیز از مصرف غذاهای چرب و شیرین
- افزایش مصرف میوه و سبزیجات
- حداقل 2 بار مراجعه به دندانپزشک در سال برای چکاپ
عفونت لثه چند روز طول می کشد؟
مدت زمان بهبود عفونت لثه به شدت بیماری، پیشرفت بیماری و مراقبتهای روزانه بیمار بستگی دارد. اگر بیماری خفیف است، بهداشت روزانه دهان و دندان، می تواند عفونت و التهاب لثه را طی 2 الی 3 هفته از بهبود دهد. اما اگر عفونت لصه شدت بیشتری داشته باشد، ممکن است چندین ماه طول بکشد تا پزشک التهاب و عفونت را کنترل کرده و علائم را از بین ببرد. در وضعیت پیشرفته معمولاً نیاز به درمانهای تخصصی مانند جرمگیری، استفاده از آنتیبیوتیکها یا حتی جراحی لثه دارد.
عوارض عفونت لثه
اگر عفونت لثه درمان نشود، علاوه به بر به خطر انداختن سلامت دهان و دندان، عفونت میتواند به سایر نواحی دهان و قسمتهای دیگر بدن شما نیز سرایت کرده و خطر ابتلا به بیماریهای دیگری همچون بیماری لثه بیماری قلبی، سکته مغزی و دیابت را نیز افزایش دهد.
آیا عفونت لثه خطرناک است؟
بله، به طور کلی لثه چرک کرده یکی از عفونتهای حساس و خطرناک در دهان است. که علاوه بر بروز لثه چرک کرده و علت ورم لثه، موجب التهاب و عفونت فک هم می شود. در بسیاری از موارد عفونتهای لثه موجب سر درد و گوش درد شدید نیز میگردد. از این رو میبایست سریعاً توسط دندانپزشک متخصص شناسایی و درمان شود. بنابراین هنگام مشاهده علائم عفونت لثه و دندان ها باید خیلی زود میزان و بخش های درگیر عفونت مشخص شده و اقدامات لازم جهت کنترل و درمان این بیماری عفونی و خطرناک انجام شود.
عفونت لثه چیست؟
عفونت لثه دندان (Gum Infection) تحت تاثیر عوامل مختلفی مثل بیماریهای خاص، مصرف دارو، نقص سیستم ایمنی و…. ایجاد میشود و در صورتی که به موقع درمان نشود عفونت اولیه لثه یا ژنژیویت به مرحله شدید چرک لثه یعنی پریودنتیت تبدیل میشود که این اتفاق بسیار خطرناک است اما به کمک دندانپزشک متخصص پریو حرفهای قابل درمان است.


لثه های عفونی در مراحل اولیه ژنژیویت نام دارد که میتوان آن را با جرمگیری دندان و لثه کمک دندانپزشک متخصص حرفهای و توجه به رعایت نکات بهداشت دهان و دندان مثل استفاده منظم از مسواک، نخ دندان و دهانشویه و…. درمان کرد.
در صورتی که به ژنژیویت بیتوجه باشید و سریعا برای درمان آن اقدام نکنید عفونت اولیه لثه در زمان کوتاهی به بیماری پریودنتال لثه تبدیل میشود و پریودنتیت مرحله شدید و پیشرفته بیماری لثه است که درمان و بهبودی کامل آن بسیار سخت و زمانبرتر از درمان ژنژیویت است واگر به آن رسیدگی نشود منجر به از دست رفتن بافتها و استخوان پشتیبان دندان و تحلیل استخوان فک میشود.
در رابطه با تفاوتهای ژنژیویت و پریودنتیت همان طور که در webmd آمده است داریم:
Gingivitis (gum inflammation) usually happens before periodontitis (gum disease). But not all gingivitis leads to periodontitis. Most people get gingivitis at some point in their lives, and its mild symptoms make it easy to ignore. But without treatment, it can turn into bigger problems for your mouth. The good news is that you can prevent or even reverse it by simply brushing your teeth, flossing, and having regular dental cleanings and checkups.
معمولا زمانی افراد متوجه آن میشوند که دیگر خیلی دیر شده است و علائم جدی بروز کردهاند. عفونت و التهاب لثه به واسطه پلاک ایجاد میشود. پلاک لایه چسبنده باکتریها است که در روی سطح دندانهای ما تشکیل میشوند و ما ممکن است آن را به صورت جرم تغییر رنگ یافته مشاهده کنیم.
سخن پایانی
با توجه به مطالب ارائه شده باید گفت لثهای که عفونت کرده یک بیماری خطرناک و مزمن است. به نحوی که سلامت دهان، دندان، فک و لثه را به خطرناک میاندازد. بنابراین باید در صورت مشاهده هرگونه علائم این بیماری، سریعاً به مراکز تخصصی دندانپزشکی مراجعه کنید. تا ضمن انجام معاینات دقیق و تشخیص نوع و شدت عفونت آن، اقدامات لازم جهت کنترل عفونت و درمان آن روی لثه شما انجام شود.
سوالات متداول
- اولین گام در درمان عفونت و التهاب لثه چیست؟
به طور کلی اولین و مهمترین گام در درمان عفونت لثه، رعایت بهداشت دهان و دندان است. البته در صورتی که احتمال عفونت و التهاب لثه وجود دارد، تشخیص به موقع شدت و میزان آن نیز اهمیت فراوانی دارد و جزء گامهای نخست درمان این بیماری عفونی محسوب میشود.
- آیا عفونت لثه، موجب خونریزی لثه میشود؟
بله، یکی از علائم شایع عفونت لثه، خونریزی است. البته در موارد حادتر هنگام خوردن غذا نیز لثه فرد دچار خونریزی شدید میشود.
- میزان شیوع عفونت لثه بین کودکان بیشتر است یا بزرگسالان؟
به طور معمول عفونت لثه بین افراد بزرگسال شیوع بیشتری دارد و علت اصلی آن عدم رعایت بهداشت دهان و دندان، مصرف دخانیات و غیره است.
- آیا سیگار کشیدن بر عفونت لثه تأثیر دارد؟
بله، سیگار کشیدن با تضعیف سیستم ایمنی و کاهش جریان خون در لثه، عفونت لثه را تشدید کرده و روند بهبودی را کند میکند.
- بهترین آنتیبیوتیک برای عفونت لثه چیست؟
دارو برای عفونت لثه داکسیسایکلین، آموکسیسیلین، کلرهگزیدین، مینوسایکلین و کلیندامایسین که باید تحت نظر پزشک تجویز شوند.




27 پاسخ
سلام چند روزه عفونت لثهم شدید شده و دردش غیرقابلتحمله. دنبال یه درمان سریع عفونت لثه هستم که بتونه حداقل موقتی درد رو کم کنه تا بتونم به دکتر برسم. کسی راهکاری داره که تجربه کرده باشه و سریع جواب بده؟
سلام آرش عزیز؛
اگر عفونت خیلی شدید نیست از روش های خانگی برای درمان عفونت لثه مانند دهانشویه گیاهی استفاده کنید، در غیر اینصورت برای درمان حتما به دندانپزشک متخصص مراجعه نمائید.
سلام من چند وقته لثههام ملتهب شده و موقع مسواک زدن خونریزی داره. خیلی نگرانم که علت التهاب لثههام چیه؟ به بهداشت دهانم توجه میکنم ولی نمیدونم چرا این مشکل برام پیش اومده. کسی تجربه مشابهی داشته؟ ممکنه دلیلش بیماری یا چیز دیگهای باشه؟
سلام محمد عزیز؛
حتما بهداشت دهان و دندان را به طور مداوم انجام دهید، هنگام مسواک را محکم روی لثه ها نکشید. حتما در نظر داشته باشید که التهاب لثه (ژنژیویت) میتواند باعث خونریزی و قرمزی لثه شود. اگر درمان نشود، ممکن است به بیماری پیشرفتهتر لثه (پریودنتیت) تبدیل شود.
سلام من مدتیه که عفونت لثه دارم و دکتر گفت باید مراقب تغذیهم باشم. خیلی دنبال این بودم که بدونم برای عفونت لثه چی بخورم که التهابم کمتر بشه. الان دارم چای سبز، ماست پروبیوتیک و زنجبیل مصرف میکنم، ولی هنوز دردش اذیتم میکنه. کسی تجربهای داره که چه مواد غذایی دیگهای میتونه کمک کنه تا عفونت سریعتر خوب بشه؟
سلام منا عزیز؛
عفونت لثه اگر شدید باشد باید سریعا به دندانپزشک مراجعه کنید تا آنتی بیوتیک به شما معرفی شود. اما اگر خیلی حفیف است، در مقاله چندین منبع غذایی و همچنین دهانشویه معرفی شده است می توانید برای تسکین درد و همچنین رفع التهاب از آن ها استفاده کنید.
برای عفونت لثه چی خوبه قبل از مراجعهبه دندانپزشکی باید چه اقداماتی انجام بشه ؟
سلام ناهید عزیز؛
اگر عفونت شدید نیست می توانید از دمنوش ها و دهانشویه های گیاهی که در این مقاله هم معرفی شده است استفاذه کنید، اگر بهبودی حاصل نشد حتما به دندانپزشک مراجعه کنید.
قرص برای عفونت لثه چه مسکنی توصیه می کنید ؟ جراحی لثه در چه شرایطی از لثه انجام میدید ؟
سلام نوشین عزیز؛
برای مصرف آنتی بیوتیک ها، حتماً به دندانپزشک مراجعه کنید تا با معاینه دقیق بهترین گزینه درمانی را برای شما تعیین کند. جراحی لثه معمولاً زمانی انجام میشود که درمانهای غیرجراحی مانند جرمگیری عمیق یا استفاده از داروها کافی نباشند
بهترین آنتی بیوتیک برای عفونت لثه چه دارویی هست باید چه مدت استفاده بشه ؟
سلام میثم عزیز؛
تمامی آنتی بیوتیک ها، باید بعد از معاینه تحت نظر پزشک مصرف شوند.
علائم التهاب لثه چه مواردی هست ؟ قبل از مراجعه به دندانپزشکی باید چه مواردی رو رعایت کنم
داروی مورد نیاز چی هست ؟
سلام سیمین عزیز؛
اولین نشانه التهاب لثه، قرمزی غیرطبیعی و تورم است. از مصرف دخانیات خودداری کنید، بهداشت دهان و دندان را نیز حتما رعایت کرده و از دهانشویه های گیاهی که در این مقاله معرفی شده است استفاده کنید. دارو باید بسته به پشروی عفوونت و التهاب، تحت نظر پزشک تجویز شود.
سلام
از بین بیماری های لثه در صورت مبتلا شدن به کدوم رسیدگی باید فوری انجام شود ؟
سلام سینا عزیز؛
هر کدام از بیماری های لثه مانند آبسه، پریودنتال، خونریزی های مداوم … همگی نیاز به رسیدگی فوری توسط پزشک متخصص دارند.
سلام
علائم عفونت لثه چه مواردی هست در صورت عفونت لثه چه قدامات اولیه میونیم انجام بدیم ؟
سلام من دوتا از دندون های اسیاب سمت راست دهنم لثشون ورم کردن و قسمت راست سرم و گوش راستم با چشم راستم خیلی خیلی درد میکننن
بعد ۵.۶ تا آفت هم از اون قسمت لثم کنار هم در اومدن
این عفونته؟
سلام هانا عزیز،
این مورد باید از طریق عکس رادیوگرافی و معاینه بررسی شود. گاها ممکن است به دلیل وجود دندان عقل و یا عفونت سینوس ها، فشار به سر و گوش و چشم وارد شود. در هر صورت اگر دسترسی به پزشک ندارید، شستوشو با آب نمک ولرم، استفاذه از مسواک نرم و رعایت بهداشت شاید بتواند به صورت موقت تسکین درد باشد. اگر بهبودی حاصل نشد، حتما به دندانپزشک متخصص مراجعه کنید.
سلام مهیا عزیز؛
تمام علائم عفونت لثه به همراه روش های درمان آن در این مقاله به طور مفصل توضیح داده شده است.
سلام
درصورت عفونت لثه باید چه کار هایی قبل از مراجعه به دکتر انجام بدیم ؟
سلام پریسا عزیز؛
اگر عفونت شدید نیست می توانید از دمنوش ها و دهانشویه های گیاهی که در این مقاله هم معرفی شده است استفاذه کنید.
سلام
جراحی فلپ لثه چقدر طول میکشه و دوران نقاهت آن چند روز هست ؟
سلام
درصورت چرک لثه چه مراقبتی باید انجام بدیم ؟
علائم عفونت لثه رو چطور تشخیص بدیم در صورت عفونت لثه چه زمانی رو داریم برای مراجعه به دندانپزشکی ؟
سلام
ممنون از مطلب خوبتون.
درمورد اینکه چرا ایمپلنت پس مسزند ربطی به بیماریهای زمینه ای یا تقاوت بین اشخاص داره یا صرفا یه مساله شانسی هست؟
سلام
خیر شانسی نیست. بیماریهای زمینهای مانند دیابت کنترل نشده، اختلالات متابولیک یا مشکلات استخوانی، تفاوتهای فردی از جمله کیفیت و کمیت استخوان، سیگار کشیدن، بهداشت دهان و دندان و عوامل ژنتیکی و همچنین تکنیک جراحی و مراقبتهای پس از عمل همگی در موفقیت یا شکست ایمپلنت نقش دارند.