ورم یا باد کردن لثه معمولاً نشانهای از التهاب، عفونت یا رشد غیر طبیعی بافت لثه است و میتواند دلایل مختلفی مثل تجمع پلاک، مصرف برخی داروها، تغییرات هورمونی، بیماریهای سیستمیک یا مشکلات ژنتیکی داشته باشد. برای کاهش ورم لثه، ابتدا باید دلیل اصلی آن مشخص شود. بسته به علت، ممکن است دندانپزشک جرمگیری دندانها، درمان دارویی یا جراحی را توصیه کند. در کنار اینها، رعایت بهداشت دهان و استفاده از روشهای کمکی مثل شستوشوی دهان با آب نمک هم میتواند به کاهش التهاب کمک کند. در ادامه قراره دقیق بررسی کنیم چرا لثه باد میکند، ۱۲ علت اصلی تورم لثه را معرفی کنیم و راهکارهای درمان و پیشگیری را مرور کنیم.
| علت ورم لثه | توضیح دقیق | نشانههای اختصاصی | درمان اصلی | درمان کمکی |
|---|---|---|---|---|
| التهاب ناشی از پلاک (ژنژیویت) | تجمع باکتری، عدم مسواک و نخ دندان | قرمزی، خونریزی، بوی بد دهان، حساسیت | جرمگیری + اصلاح بهداشت | آبنمک، چای کمرنگ |
| پریودنتیت (مرحله پیشرفته) | التهاب عمیق و عفونت لثه و استخوان | تحلیل لثه، درد، لقی دندان | فلپ، جرمگیری عمقی، آنتیبیوتیک | دهانشویه ضدباکتری |
| مصرف دارو (فنیتوئین، سیکلوسپورین، CCB) | رشد بیشازحد بافت لثه | لثه سفت، صورتی، بدون درد، پوشش روی دندان | تغییر دارو + جراحی ژنژیوکتومی | رعایت کامل بهداشت |
| فیبروماتوز ارثی لثه | رشد ژنتیکی و تدریجی لثه | سفت، کمرنگ، پوشاندن دندان | جراحی منظم لثه | مراقبت دائم |
| بارداری و تغییرات هورمونی | افزایش استروژن/پروژسترون | خونریزی زیاد، تورم، حساسیت شدید | جرمگیری + کنترل التهاب | آبنمک، دهانشویه بیخطر |
| دیابت | کاهش قدرت ایمنی + خشکی دهان | دیر خوب شدن زخم، تورم مزمن | کنترل قند خون + درمان لثه | آبرسانی، بزاق مصنوعی |
| کمبود بزاق (خشکی دهان) | باکتری زیاد + کاهش دفاع لثه | بوی بد، التهاب مداوم | درمان خشکی دهان | آبنوشی، آدامس بدون قند |
| سیگار و قلیان | انقباض عروق + کاهش ایمنی | لثه رنگپریده، دیرخونریزی، التهاب پنهان | قطع دخانیات + جرمگیری | دهانشویه ضدباکتری |
| کمبود ویتامین C | ضعف بافت لثه | خونریزی، زخمپذیری، تورم | اصلاح تغذیه + مکمل | میوههای تازه |
| اضطراب و استرس | تضعیف سیستم ایمنی | التهاب مکرر، زخم دهانی | کنترل استرس | مسواک ملایم |
| بینظمی دندانها | گیر غذایی، تجمع پلاک | تورم پشت دندانها | ارتودنسی + جرمگیری | نخ دندان مخصوص |
| عفونت دندان یا آبسه | ورود باکتری به ریشه | درد ضربانی، چرک، تب | آنتیبیوتیک + درمان ریشه | کمپرس گرم |


راهنمای صوتی
علت باد کردن لثه
ورم لثه معمولا یک نشانه و علامت است بر مشکلاتی که در سلامتی دهان و دندان اشاره دارد. در بعضی موارد، ورم لثه میتواند به تنهایی باشد و یا با علائم دیگری همراه باشد. در صورتی که با علائم زیر همراه باشد، باید توجه ویژهای به آن داشته باشید:
- تورم: لثه در ناحیه مورد ورم بیشتر از حالت طبیعی تورم میکند. ممکن است ظاهری بیضوی یا منحنی داشته باشد.
- قرمزی: لثه در ناحیه ورم شده قرمز یا قرمز تیره میباشد، که نشان از التهاب و عفونت میدهد.
- خونریزی: وقتی برس دندان روی لثه فشار داده میشود یا در صورت بروز ضربه یا فشار، لثه میتواند به آسانی خونریزی کند.
- درد و تحسّس: معمولاً در ناحیه ورم شده، لثه درد میکند و حساسیت نسبت به فشار و لمس دارد.
- بوی نامطبوع: ممکن است ورم لثه همراه با بوی نامطبوع و ناخوشایند از دهان همراه باشد که برای درمان بوی بد دهان راه های زیادی است.
علائم تورم لثه یا باد كردن لثه دندان چیست؟
تورم لثهها یک مشکل جدی است باید به محض مشاهده کوچکترین علائم آن برای درمان به دندان پزشک مراجعه کنید در ادامه چندتا از مهمترین علائم ورم لثه را مرور میکنیم.
10 علامت اصلی ورم لثه دندان
- غیر طبیعی شدن رنگ لثه
- متمایل شدن رنگ لثه به قرمز پررنگ
- حساس شدن لثهها
- دردناک شدن دهان و مخصوصا لثهها
- از بین رفتن خط دندانها
- ایجاد حفره بین دندانها و لثهها
- زخم معده
- شکاف بین دندانها و لثهها
- خونریزی لثه زمان مسواک و نخ دندان
- بوی بد شدید دهان یا هالیتوز
انواع ورم لثه
ورم لثه یا باد كردن لثه دندان یک بیماری شایع است که می تواند باعث قرمزی و خونریزی نیز لثه شود. این بیماری می تواند در اثر تجمع پلاک و تارتار روی دندان ها ایجاد شود. پلاک یک لایه نازک از باکتری ها است که به طور مداوم روی دندان ها تشکیل می شود. اگر پلاک پاک نشود، می تواند سخت شده و به تارتار تبدیل شود. تارتار یک رسوب سخت است که به راحتی پاک نمی شود. تارتار می تواند باعث تحریک لثه ها شده و بیماری لثه را ایجاد کند.
ورم اثه در قسمت های متخلف رخ دهد و علت آن متفاوت است. مثلا علت ورم لثه پشت دندان با لثه جلو یکی نیست.
انواع مختلفی از ورم لثه وجود دارد، از جمله:
- ژنژیویت: این نوع خفیف ترین نوع ورم لثه است. ژنژیویت می تواند باعث تقرمزی و خونریزی لثه شود. ژنژیویت را می توان با مسواک زدن و نخ دندان کشیدن مناسب درمان کرد.
- پریودنتیت: این نوع شدیدتر از ورم لثه است. پریودنتیت می تواند باعث قرمزی، خونریزی و عقب نشینی لثه شود. پریودنتیت همچنین می تواند باعث از دست دادن استخوان و دندان شود. پریودنتیت را می توان با درمان های دندانپزشکی مانند پاکسازی عمیق و جراحی درمان کرد.
بررسی علت ورم کردن لثه
چند دلیل عامل اصلی علت متورم شدن لثه وجود دارد که میتوان آن ها را به چهار گروه کلی تقسیم بندی کرد:
- تورم لثه به واسطه التهاب
- تورم لثه ناشی از دارو
- فیبروماتوز ارثی لثه
- عوامل سیستمیک بزرگ شدن لثه
باد کردن لثه دندان به دلیل التهاب
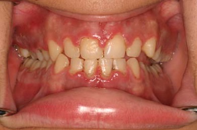
علت تورم لثه دندان یا باد كردن لثه دندان که ممکن است به صورت موضعی و یا کلی باشد میتواند عوامل مختلفی باشد. یکی از دلایل بروز انواع ورم لثه واکنش التهابی است که در پاسخ به تجمع ذرات غذا و باکتری (پلاک) در دندان ها اتفاق می افتد. این وضعیت در نتیجه عدم رعایت بهداشت موثر است و ممکن است منجر به بروز عفونت لثه شود و باید آنتی بیوتیک برای عفونت لثه و دندان مصرف شود. در شکل زیر یک نمونه از ورم کردن لثه به دلیل التهاب را مشاهده میکنید.

لثه ای که به این علت متورم شده است، اغلب نرم، قرمز و حساس به لمس بوده و به راحتی خونریزی میکند. خوشبختانه التهاب لثه را میتوان با رعایت بهداشت (مسواک زدن و نخ دندان کشیدن منظم) و پاک کردن جرم و پلاک و در نتیجه از بین رفتن مواد محرک در دندان، برطرف نمود.
باد کردن لثه دندان به دلیل مصرف دارو
مصرف برخی از داروها می تواند علت متورم شدن لثه شود. بر خلاف مورد قبل، در این حالت بافت های لثه معمولا سفت و صورتی رنگ بوده و به لمس حساس نیستند و به راحتی خونریزی نمیکنند. گاهی علت علت ورم لثه پشت دندان همین مورد است.
در موارد شدید ممکن است تاج دندان به طور کامل لثه را پوشانده و موجب بیماری لثه شود چرا که در این شرایط تمیز نگه داشتن دندانها دشوار میشود. همچنین مشکلات مربوط به بیرون زدن دندان و همراستایی آنها نیز ممکن است اتفاق بیفتد. تورم لثه به واسطه مصرف دارو پس از قطع مصرف، ممکن است به طور کامل یا تا حدی برطرف شود. در صورتی که نمیتوانید مصرف دارو را متوقف کنید باید با جراحی بافت اضافی لثه برداشته شود. به این عمل جراحی ژنژیوکتومی گفته میشود. با این حال باز ممکن است در صورت ادامه مصرف دارو لثه بزرگ شود. از آنجایی که این وضعیت با تجمع پلاک در دندانها بدتر میشود، رعایت بهداشت مناسب از شدت آن میکاهد. به نقل از clevelandclinic:
There are two main types of gingivectomy:
Traditional gingivectomy. A surgeon uses a scalpel to remove excess gum tissue. In some cases, they may need to remove a small amount of underlying bone. They may use stitches to close any incisions and slow bleeding.
Laser gingivectomy. A surgeon uses a handheld laser to remove excess gum tissue. Since lasers also cauterize (seal) gum tissue, you may not need stitches.دو نوع اصلی ژنژیوکتومی وجود دارد:
ژنژیوکتومی سنتی: در این روش، جراح با استفاده از تیغ جراحی، بافت اضافی لثه را برمیدارد. در برخی موارد ممکن است لازم باشد مقدار کمی از استخوان زیرین نیز برداشته شود. برای بستن برشها و کاهش خونریزی، معمولاً از بخیه استفاده میشود.
ژنژیوکتومی با لیزر: در این روش، جراح از یک لیزر دستی برای حذف بافت اضافی لثه استفاده میکند. از آنجا که لیزر همزمان با برش، بافت لثه را میبندد (کوتر میکند)، معمولاً نیازی به بخیه نیست.
چه داروهایی باعث بزرگ شدن لثه میشوند؟
داروها حتی در صورت تجویز شدن از سمت پزشک نیز ممکن است عارضههای دردسرسازی را برای شما ایجاد کنند دستهای از داروها مثل فنیتوئین، سیکلوزپورین عوارض منفی در ناحیه دهان و دندان داشته و موجب تورم و التهاب لثه میشوند.
فنیتوئین
فنیتوئین یک داروی ضد تشنج است که برای درمان انواع تشنج و صرع استفاده میشود، مصرف طولانی مدت این دارو عوارضی همچون باد کردن لثهها خواهد داشت؛ احتمال بزرگی لثه مربوط به مصرف دارو در موارد مصرف بلند مدت فنیتوئین ۵۰ درصد تخمین زده میشود.
سیکلوزپورین
سیکلوزپورین یک داروی سرکوب کننده ایمنی است که برای پیشگیری از پس زدن عضو پیوند شده پس از پیوند عضو مصرف میشود. ممکن است در درمان انواع بیماری های مربوط به سیستم ایمنی از جمله پسوریازیس، درماتیت آتوپیک، آرتروز روماتیسمی و سندرم نفروتیک نیز از آن استفاده شود.
پس از مصرف سیکلوزپورین ۲۵ تا ۳۰ درصد از بزرگسالان ممکن است دچار التهاب لثه شوند اما در کودکان این احتمال حدود 70 درصد بیشتر است.
مهار کننده کانال کلسیم
دسته ای از داروهای قلبی عروقی هستند که برای مدیریت مشکلاتی مانند پرفشاری خون، درد سینه و نامنظمی ضربان قلب مصرف میشوند، عارضه ورم کردن لثه در اثر داروهای مهار کننده کانال کلسیم بستگی زیادی به نوع دارو دارد (از ۱۵ تا ۸۵ درصد احتمال آن متفاوت است).
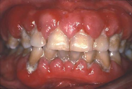
فیبروماتوز ارثی لثه
این بیماری یک وضعیت نادر وراثتی است که معمولا در کودکی ایجاد میشود. اگر چه برخی موارد آن ممکن است تا بزرگسالی مشهود نشوند. در این وضعیت رشد کند عمومی یا گه گاهی محلی لثه مشاهده میشود که بدون حساسیت در حین لمس بوده و لثه سفت و به رنگ صورتی کمرنگ است. نمونه ای از این وضعیت در شکل زیر مشاهده میوشد که نشان میدهد چگونه دندانها توسط رشد بیش از حد لثه پوشانده شده اند.

اغلب برای جلوگیری از نهفته شدن دندانها یا جا به جایی آنها بافت اضافی لثه به روش جراحی برداشته میشود. جراحی مکرر برای برداشتن بافت زیادی لثه ممکن است لازم باشد چون ماهیت این وضعیت عود شونده است.
قبل از بررسی دلایل بزرگ شدن لثه از شما دعوت می کنیم به مقاله سیاه شدن لثه که بی ارتباط با این مقاله هم نیست سر بزنید.
دلایل سیستمیک بزرگ شدن لثه
برخی وضعیتهای سیستمیک و فیزیولوژیک وجود دارند که ممکن است باعث و علت متورم شدن لثه شوند از جمله بارداری، عدم تعادل هورمونی و لوکمی. در زیر یک نمونه از عکس ورم لثه مربوط به بارداری نشان داده شده است.


بزرگ شدن لثه ناشی از یک وضعیت سیستمیک معمولا با حل شدن یا درمان مشکل اصلی با در مورد بارداری با زایمان، برطرف میشود. در این موارد هم مانند تورم لثه ناشی از مصرف دارو، رعایت بهداشت مناسب احتمال بزرگی لثه را کاهش میدهد.
رژیم غذایی غلط
غذاهایی که میخورید بیشتر از چیزی که تصور میکنید روی سلامت دهان و دندان های شما تاثیر میگذارند! اگر رژیم غذایی غیر اصولی مصرف کنید که بیش از حد شامل کربوهیدرات باشد مثل نان، برنج، سیب زمینی، نشاسته و … و همچنین به مصرف میوههای دارای ویتامین مخصوصا ویتامین C توجه نکنید به احتمال زیاد درگیر تورم لثه خواهید شد.
برخی از بیماریها علت ورم لثه
بسیاری از بیماریها نیز میتوانند علت ورم لثه پشت دندان باشند، بیماریهایی مثل سرطان، دیابت، ایدز یا مشکلات روانشناختی همچون استرس مزمن، هراس، اضطراب و … احتمال ایجاد ورم لثه را افزایش میدهند.
سیگار و قلیون
استفاده از سیگار و قلیون، خطر مبتلا شدن به عفونت و ورم لثه را به شدت افزایش میدهد محتویات تشکیل دهنده دود قلیون و سیگار به خصوص نیکوتین به شدت برای سلامت لثهها مضر است و استعمال طولانی مدت قلیون و سیگار ریسک ایجاد ورم لثه را بیشتر خواهد کرد.
افزایش سن
کلید اصلی سلامت دهان و دندان به خصوص لثهها دریافت ویتامینهای لازم به مقدار کافی است اصولا با افزایش سن تغذیه افراد دچار مشکل شده و ویتامینهای کافی برای بدن تامین نمیشوند و همین موضوع به مشکلات دهان و دندان و مخصوصا ورم لثه منجر میشود، افزایش سن میتواند اصلیترین دلیل باد کردن لثههای شما باشد که با مشورت دندانپزشک و استفاده از دارو قابل کنترل است.
کمبود بزاق
بزاقی که در دهان ترشح میشود به سلامت لثه ها کمک میکند در صورتی که مشکل خشکی دهان و کمبود ترشح بزاق داشته باشید احتمال اینکه با مشکل باد کردن لثه در آینده مواجه شوید افزایش پیدا میکند.
مرتب نبودن دندانها
در صورتی که دندانها مرتب نباشند تمیز کردن مواد غذایی و آلودگیها با مسواک و نخ دندان از میان آنها دشوار خواهد شد و همین مشکل زمینه ساز جمع شدن پلاکها روی دندانها و پشت لثهها خواهد شد، مرتب نبودن دندانهای مهمترین علت ورم لثه پشت دندان محسوب میشود که با انواع روش های بستن فاصله میان دندان قابل حل است.
ژنتیک
ممکن است شما تمامی نکات مهم و ضروری رعایت بهداشت دهان و دندان را رعایت کنید و دندانهای مرتب و سالمی هم داشته باشید اما باز هم با مشکل ورم و بزرگ شدن لثه مواجه شوید چون ژنتیک نیز یکی از عوامل ایجاد تورم لثه محسوب میشود که از طریق خانواده ممکن است به شما برسد.
اضطراب
اضطراب، قاتل اصلی سلامتی بدن است و هیچ عضوی از دست این عامل خطرناک در امان نیست و لثههای شما هم نیز ممکن است در اثر اضطراب زیاد دچار عفونت و تورم شوند چون سیستم دفاعی بدن در مقابل باکتریها زمان درگیر شدن با اضطراب و استرس شدت ضعیف میشود و در این حالت کارکرد اندامهای مختلف مختلف شده و بیماریهای متفاوت به وجود میآیند.
راه های پیشگیری از ورم لثه
بهتر است قبل از اینکه درگیر ورم لثه لثه شوید به فکر پیشگیری از ایجاد این مشکل باشید تا با صرفه هزینه و زمان کمتر سلامتی خود را حفظ کنید.
12 نکته ساده برای پیشگیری از بزرگ شدن لثه
- استفاده از مسواک
- نخ دندان مرتب
- شستن دهان با دهانشویه
- چکاپ منظم توسط دندانپزشک
- استراحت کافی
- دوری از استرس
- پرهیز از سیگار و قلیون
- پرهیز از مواد مخدر
- کنار گذاشتن نوشیدنیهای الکلی
- محدود کردن قند و کربوهیدارات
- توجه بیشتر به بهداشت دندان زمان ارتودنسی
- محدود کردن قندها و کربوهیدراتها
برای درمان ورم لثه به چه دکتری مراجعه کنیم؟
اگر مشکل تورم و عفونت لثه خیلی شدید نباشد دندانپزشک عمومی میتواند با تمیز کردن دندانها و لثه مشکل شما را حل کند اما در صورت شدید بودن مشکل دندانپزشک عمومی شما را برای درمان به متخصصان پریودنتیست (Periodontists) ارجاع میدهد.
پزشکان پریودنتیسن در زمینه درمان بیماریهای پریودنتال لثه یعنی بیماریها و التهاب لثه تخصص دارند و با داشتن دانش و تجربه کافی در زمینه درمان این دسته از بیماری های لثه میتوانند به راحتی مشکل را شناسایی و درمان باد كردن لثه دندان را انجام دهند.
تشخیص و درمان عفونت لثه چگونه است؟
دندانپزشک در ابتدا با گرفتن شرح حال از وضعیت تغذیه، رعایت بهداشت دهان و دندان، داروهای مصرفی، سابقه بیماری و معاینه لثهها با دستگاههای مخصوص، اطلاعات دقیقی از وضعیت سلامت لثههای شما پیدا میکند و در صورتی که به موقع برای درمان تورم لثه مراجعه کرده باشید مشکل شما با داروهای ساده و راهکارهای کوتاه بر اساس تشخیص دندانپزشک درمان میشود.
درمان تورم لثه چگونه است؟
روند درمان باد كردن لثه دندان به شدت مشکل شما و تشخیص دندانپزشک بستگی دارد گاهی اوقات با یک جرمگیری ساده و تجویز آنتی بیوتیک مشکل حل میشود اما گاهی برای درمان تورم لثه به انجام جراحی فلپ و تمیز کردن عمق ریشه دندان نیاز است.
جرمگیری
در این روش دندانپزشک با انجام جرمگیری دندان و بروساژ پلاک های اضافی را از روی دندانها حذف میکند، جرمگیری سادهترین روش برای درمان تورم لثه است که در مراحل ابتدایی این مشکل تجویز میشود.
آنتی بیوتیک
زمانی که لثه بیمار دچار عفونت میشود، برای کنترل رشد باکتریها و جلوگیری از گسترش عفونت، معمولاً از آنتی بیوتیک برای عفونت لثه و دندان استفاده میشود. البته نکته مهم اینجاست که مصرف آنتیبیوتیک با هدف درمان عفونت لثه، حتماً باید با تشخیص و تجویز دندانپزشک انجام شود. استفاده خودسرانه از آنتیبیوتیک نهتنها به درمان کمکی نمیکند، بلکه میتواند باعث مقاومت باکتریها و تشدید مشکل عفونت لثه و دندان شود؛ به همین دلیل مصرف بدون نسخه و نظر تخصصی اصلاً توصیه نمیشود.
همان طور که در وبسایت medicalnewstoday هم گفته شده است :
Oral antibiotics are usually effectiveTrusted Source in treating dental abscesses. A person must also undergo dental treatment, such as a root canal or extraction, to address the cause of the abscess
Sometimes, the infection may spread to other body parts. In very severe cases, a person may need to stay in the hospital and receive intravenous antibiotics.
آنتیبیوتیکهای خوراکی معمولاً در درمان آبسههای دندانی مؤثر هستند. البته فرد باید همزمان تحت درمان دندانپزشکی قرار بگیرد، مثل عصبکشی یا کشیدن دندان، تا علت اصلی آبسه برطرف شود.
گاهی اوقات عفونت میتواند به بخشهای دیگر بدن هم سرایت کند. در موارد خیلی شدید، ممکن است لازم باشد بیمار در بیمارستان بستری شود و آنتیبیوتیک را بهصورت وریدی (تزریقی) دریافت کند.
درمان خانگی ورم لثه چیست؟
درمان ورم لثه در خانه به هیچ وجه توصیه نمیشود چون ورم لثه یک مشکل جدی است و نیاز به درمان تخصصی دارد اما میتوانید از روشهای زیر برای کاهش التهاب جزئی تا زمان وزیت دندانپزشک استفاده کنید.
چای کم رنگ
چای یک گیاه طبیعی و مفید است که در صورت استفاده متعادل از آن میتواند برای سلامت دندانها و لثه مفید باشد، تنها کافی است چند جرعه چای کم رنگ را چندبار در دهانتان بچرخانید تا شدت التهاب کاهش پیدا کند.
آب نمک
آب نمک، یک ضد عفونی کننده طبیعی است که میتواند باکتریهای دهان شما را از بین برده است برای استفاده از آب نمک جهت کاهش تورم لثه باید 3 الی 4 قاشق چایخوری نمک را در یک فنجان آب ولرم ترکیب کرده و حدود 30 ثانیه دهانتان را با این محلول بشویید.
استفاده از روغن لیموترش
روغن لیمو ترش مثل یک دهانشویه قوی برای دهان و دندان عمل میکند، حدود 4 قطره روغن لیمو ترش را در یک فنجان آب رقیق کنید و به مدت 1 دقیقه آن را در دهانتان بگردانید.
روغن نارگیل
روغن نارگیل علاوه بر داشتن عطر دلپذیر و طعم فوق العاده، حاوی اسید لوریک است که دشمن اصلی التهاب و باکتریها به شمار میرود برای استفاده از روغن نارگیل حدود 2 الی 3 قاشق از آن را در دهانتان بگردانید و سپس با آب خالی ولرم دهانتان را بشویید تا کاملا روغن از روی دندانها و لثهها پاک شود.
عوارض عدم درمان تورم لثه
متاسفانه برخی از افراد تصور میکنند که تورم لثه مشکل جدی نیست که نیاز به درمان داشته باشد و از همین جهت به انجام اقدام درمانی برای تورم لثه بیتوجه هستند و همین تاخیر در اقدام برای درمان عوارض جبران ناپذیری برای سلامت دهان و دندان افراد مثل آبسه دندان ایجاد میکند.
7 عارضه مهم تورم لثه
- آبسه
- عفونت در لثه
- عفونت استخوان فک
- پریودنتیت
- زخم لثه
- خونریزی لثه
- ارتباط بارداری با عفونت لثه
آیا تورم لثه در بارداری طبیعی است؟
همانطور که پیشتر گفتیم یکی از دلایل سیستماتیک تورم لثه بارداری میباشد پس التهاب لثه در زمان حاملگی نرمال است چون در دوران بارداری میزان هورمون استروژن و پروژسترون در بدن مادر افزایش یافته و این تغییرات هورمونی استخوانهای فک و لثه را دستخوش تغییر میکند و ممکن است در این زمان مادر باردار احساس تورم لثه و یا حتی لقی دندان داشته باشد .
اگر شما در زمان بارداری به سر میبرید و این علائم را دارید بدانید که تمامی این مشکلات کاملا طبیعی است و پس از زایمان و دوره شیردهی به مرور از بین میروند اما برای آسودهتر شدن خیالتان بهتر است به دندانپزشک برای چکاپ و معاینه مراجعه کنید.
علت باد كردن لثه دندان عقل چیست؟
باد کردن لثه دندان عقل ممکن است به دلیل چندین عامل باشد. این مشکل معمولاً با تورم، التهاب و درد در ناحیه لثه همراه است.علت باد كردن لثه دندان عقل به طور کلی عبارتند از:
- التهاب لثه: وقتی دندان عقل به خوبی در جای خود نمیگنجد و یا فضای کافی برای رشد ندارد، ممکن است لثه در این ناحیه ملتهب شود. این مسئله میتواند به تورم و بادکردن لثه منجر شود.
- عفونت: در برخی موارد، وقتی دندان عقل به سختی و با مشکل در جا میگنجد، باکتریها و بافتهای بیمار میتوانند در اطراف آن جمع شوند و عفونت را ایجاد کنند. این عفونت میتواند باعث بادکردن و التهاب لثه شود.
- تراکم لثه: در برخی از افراد، لثهها به طور طبیعی بیش از حد فشرده هستند و فضای کافی برای رشد دندان عقل را فراهم نمیکنند. در این شرایط، لثهها ممکن است به شدت تحت فشار قرار بگیرند و باد شوند.
- ترمیم دندان: در صورتی که دندان عقل شکسته یا ترمیم شده باشد، این ممکن است باعث عدم گنجایش صحیح آن در مکانیسم گوشته شدن لثه شود و به بادکردن لثه دندان عقل منجر شود.
سخن پایانی
تورم و بزرگ شدن لثهها یک مشکل جدی و شایع محسوب میشود که ممکن است به دلایل مختلفی همچون ژنتیک، مثرف دخانیات و نوشیدنیهای الکلی، تغذیه غلط و …. ایجاد شود، شما باید در صورت مشاهده علائم تورم لثه جهت درمان و پیشگیری از شیوع و پیشرفت بیماری سریعا به دندانپزشک مراجعه کنید؛ در این مقاله مهمترین علائم، علتها، روشهای پیشگیری و درمان عفونت و تورم لثه مرور شد.
سوالات متداول
1.علت اصلی باد کردن لثه چیست؟
باد کردن و تورم لثه به طور کلی به 4 دلیل عمده می تواند بروز پیدا کند. به طور خلاصه وجود التهاب ناشی از تجمع ذرات غذا و باکتری، عوارض ناشی از مصرف دارو، وجود بیماری وراثتی و عوامل سیستماتیک مثل بارداری و عدم تعادل هورمونی می تواند موجب بروز انواع ورم لثه شود.
2.چه علائمی می تواند نشان دهنده تورم لثه باشد؟
ورم لثه در صورتی که بسیار شدید نباشد می تواند هیچ گونه علائمی نداشته باشد اما به صورت کلی پف کردن و تغییر رنگ (قرمز شدن) لثه ها، بوی بد دهان و در موراد شدید شل شدن لثه ها می تواند از علائم ورم لثه پشت دندان بوده و نیاز است تا به دندان پزشک مراجعه شود.
3.آیا مصرف داروهای خاص می تواند موجب بروز ورم لثه پشت دندان باشد؟
همان طور که در این مقاله گفتیم یکی از علت های بروز انواع ورم لثه می تواند مصرف داروهای خاص مثل داروهای ضد تشنج و داروهای قلبی و عروقی باشد.




23 پاسخ
من چند وقت پیش لثه بالای یکی از دندونای جلویم یهو ورم کرد، نه ضربه خورده بود نه چیز خاصی. فقط دیدم باد کرده و یه حس فشار داره. هی تو گوگل سرچ میکردم علت ورم لثه بالای دندان، هر سایت یه چیزی میگفت. یکی میگفت عفونته، یکی میگفت از مسواکه. سوالم اینه واقعا اگه علت ورم کردن لثه عفونت نباشه، ممکنه خودش خوب بشه؟ یا حتما بدتر میشه؟ چون من یه بار بعد چند روز انگار خوابید ولی الان دوباره برگشته.
من وقتی چیزی لای دندونم گیر میکنه لثه ورم میکنه. بعضی وقتا با نخ درست میشه بعضی وقتا نه. بعد کلا اطراف دندون عقلمم ملتهبه میخواستم بدونم علت باد كردن لثه دندان عقل یا کلا دلیل باد کردن لثه چیه دقیقا؟ چکار میتونم بکنم براش؟
سلام وقت بخیر . ۵روزه دندان عقل های پایین رو جراحی کردم و الان دوروزه لثه دندان عقل های بالا بادکرده و دردمیکند . ایا به علت تورم و التهاب گونه و لپ است یا خیر
سلام رها عزیز؛
بعد از جراحی دندان عقل نهفته، تورم و التهاب در نواحی اطراف، از جمله گونه و لب، امری طبیعی است و گاهی ممکن است تورم از محل جراحی به سایر نواحی مانند لثه دندان عقلهای بالا نیز منتقل شود. اگر تورم و درد شما بهطور ملایم و تدریجی کاهش پیدا کند موردی ندارد، اگر در حال تشدید باشد بهتر است به دکتر مراجعه کنید.
سلام و درود.
سپاس از مطالب مفیدی که گذاشتید.
مشکل من تورم لثه در ناحیه دندان های جلویی فک بالا ست و اینکه رنگ لثه صورتی کمرنک هست و موقع مسواک زدن خونریزی داره . از راهنمایی شما بسیار سپاسگزارم.
سلام زهرا عزیز،
توصیه میکنم هرچه سریعتر با دندانپزشک یا متخصص پریو مشورت کنی تا وضعیت به دقت ارزیابی شود و در صورت نیاز درمان مناسب آغاز گردد.
برای رفع ورم لثه پشت دندان جلو به صورت موضعی دارویی هست تا قبل از مراجعه به دندانپزشک استفاده کنم ؟
سلام کیانا عزیز؛
امکان تجویز دارو بدون معاینه وجود ندارد، می تونی از روش های خانگی مانند محلول آب نمک گرم (نصف قاشق چایخوری نمک در یک لیوان آب گرم) استفاده کنی، توصیه میشود هرچه زودتر به دندانپزشک مراجعه کنید تا علت ورم بهطور دقیق تشخیص داده شده و درمان مناسب انجام شود.
در روز حداقل 5 نخ سیگار می کشم برای جلوگیری از بیماری های لثه چه روش و دارویی پیشنهادمی دید ؟
سلام نادر عزیز؛
توصیخ می کنیم برای سلامت دهان و دندان حتما از مصرف سیگار خودداری کنید، بهداشت دهان و دندان شامل مسواک و نخ دندان را جدی بگیرید.
علت باد كردن لثه دندان عقل چه مواردی میتونه باشه ؟
علت آمدن لثه روی دندان چیست ؟
سلام سامان عزیز؛
زمانی که دندان عقل بهطور کامل بیرون نمی آید یا محل ورود آن بسته است، تودهای از لثه میتواند پوشاننده دندان باشد. این وضعیت میتواند باعث تجمع باکتری و التهاب شود که به بادکردن و درد لثه منجر میشود. عدم تمیزی مناسب در ناحیه دندان عقل، فشار یا ضربه ناشی از جویدن یا حتی فشار از دندانهای مجاور، برخی از داروها، بیماری پریودنتال از جمله دلایل هستند.
سلام
وقت بخیر
چطور از افزایش ورم پلت دنان جلوگیری کنیم ؟
سلام مهدی عزیز؛
بهداشت دهان و دندان را جدی بگیرید مواد غذایی که قند کمتری دارند استفاده کرده و هر 6 ماه نیز به دندانپزشک مراجعه کنید.
درمورد ورم لثه پشت دندان و گاهی سقف دهن، غیر از عفونت چه علت دیگه ای میتونه داشته باشه؟ و اینکه اگه عفونت لثه داشته باشیم پزهیر غذایی نیازه باشه؟ اگر آره چه مواد غذایی؟
سلام نصیبه عزیز؛
باید توسط پزشک معاینه شود. ممکن است واکنش به مصرف داروی خاص باشد.
ممنونم از توضیحات بسیار کاملی که در مورد علت ورم لثه داده بودین خیلی مفید بود. یک سوالی بنده داشتم و اون هم برای درمان بادکردن لثه و به طور کلی وقتی لثه باد میکنه چیکار کنیم؟
سلام وقت بخیر نسخه کلی برای این مورد وجود نداره و بهترین راه برای وقتی لثه باد میکنه مراجعه به پزشک هست.
سلام به تیم خوب خانم دکتر وزیری عزیز
من چند وقتی هست که مشکل بادکردن لثه در ناحیه دندان عقل دارم. خیلی سرچ کردم در موردش به چندتا متخصص هم در شهر خودمون مراجعه کردم ولی هیچ کدوم متوجه علت باد كردن لثه دندان عقل نشدند. ممنون میشم در این زمینه بتونین راهنماییم کنید.
بعد از مراجعه و ویزیت توسط دندانپزشک ، امکان پاسخ درست و همینطور ارائه طرح درمان مناسب وجود داره.
سلام مرضیه عزیز؛
از اینکه با ما در ارتباط هستید، بسیار خوشحالیم. باد کردن لثه در ناحیه دندان عقل میتواند دلایل مختلفی داشته باشد، رشد ناقص دندان عقل، التهاب لثه و نبودن فضای کافی برای رشد دندان، می تواند از مهمترین علت باد كردن لثه دندان عقل باشد. برای تشخیص دقیق، معمولاً تصویر رادیوگرافی از دندانها لازم است.
سلام وقتتون بخیر و خوشی باشه
ممنونم از مقاله ای که نوشتین و بسیار کمک کننده هست ولی مشکلی که من دارم که ورم لثه پشت دندان شدم و به چندین متخصص مراجعه کردم ولی نتونستم ازشون جواب درستی بگیرم.
خواستم از شما راهنمایی بخوام علت ورم لثه پشت دندان چی هست و چطور میشه اون رو درمان کرد؟
سلام جناب اکبری عزیز؛
این مورد می تواند دلایل مختلفی شامل رعایت نکردن بهداشت دهان و جمع شدن پلاک و جرم روی دندان و لثه، تغییرات هورمونی، خوردن غذاهای سخت و ضعیف شدن سیستم ایمنی بدن باشد.