خوشبختانه، راهکارهای مؤثری برای پیشگیری از پوسیدگی دندان وجود دارد که یکی از مهمترین آنها فلوراید تراپی است. این روش درمانی ساده و ایمن، با تقویت مینای دندان و مقابله با اسیدهای مخرب میتواند بهطور قابل توجهی خطر پوسیدگی را کاهش دهد. در این مقاله به بررسی جامع این روش درمان، فواید و نکات مهم آن میپردازیم و به شما نشان میدهیم که فلوراید تراپی چگونه انجام میشود؟
| فواید فلوراید | افرادی که نیاز به فلوراید تراپی دارند | روشهای مختلف فلوراید تراپی |
|---|---|---|
|
|
|
پوسیدگی دندان یکی از مشکلات شایع دهان و دندان است که افراد در هر سنی با آن مواجه میشوند. بسیاری از ما تاکنون درد ناشی از پوسیدگی دندان یا هزینههای بالای درمانهای دندانپزشکی را تجربه کردهایم. این مشکل نهتنها سلامت دهان و دندان را تهدید میکند، بلکه میتواند بر کیفیت زندگی روزمره هم تأثیر بگذارد.
طبق گفته سایت clevelandclinic.org:
Every day, your enamel (the protective outer layer of your tooth) gains and loses minerals. You lose minerals when acids — formed from bacteria, plaque and sugars in your mouth — attack your enamel. (This process is demineralization.) You gain minerals — like fluoride, calcium and phosphate — when you consume food and water that contain these minerals. (This process is remineralization.)
Tooth decay is a result of too much demineralization without enough remineralization
Dental fluoride helps prevent tooth decay by making your enamel more resistant to acid attacks. It also reverses early decay
هر روز مینای شما (لایه محافظ بیرونی دندان) مواد معدنی را به دست می آورد و از دست می دهد. هنگامی که اسیدها – که از باکتری ها، پلاک ها و قندهای موجود در دهان شما ایجاد می شوند – به مینای دندان شما حمله می کنند، مواد معدنی را از دست می دهید. (این فرآیند غیر معدنی سازی است.) هنگامی که غذا و آب حاوی این مواد معدنی را مصرف می کنید، مواد معدنی مانند فلوراید، کلسیم و فسفات به دست می آورید. (این فرآیند معدنی سازی مجدد است.)
فلوراید دندان با مقاومتر کردن مینای دندان در برابر حملات اسیدی به جلوگیری از پوسیدگی دندان کمک میکند. همچنین پوسیدگی اولیه را معکوس می کند.
فلوراید تراپی چیست؟
فلوراید تراپی یک روش درمانی پیشگیرانه است که در آن از فلوراید، یک ماده معدنی طبیعی، برای تقویت مینای دندان استفاده میشود. فلوراید به مینای دندان کمک میکند تا در برابر اسیدهای تولیدشده توسط باکتریها مقاومتر شود. مینای دندان که لایه بیرونی و سخت دندان است، در برابر حملات ناشی از اسیدهای موجود در مواد غذایی و نوشیدنیها آسیبپذیر است. فلوراید با تقویت این لایه، خطر پوسیدگی دندان را کاهش میدهد.
چگونه فلوراید تراپی برای پیشگیری از پوسیدگی به دندان کمک میکند؟
فلوراید از دو طریق به پیشگیری از پوسیدگی دندان کمک میکند:
- تقویت مینای دندان: فلوراید به مینای دندان متصل میشود و آن را مقاومتر میکند. بهاینترتیب، مینای دندان در برابر اسیدهای تولیدشده توسط باکتریهای دهان مقاومتر خواهد شد و کمتر دچار پوسیدگی میشود.
- مهار باکتریهای دهان: فلوراید میتواند رشد و فعالیت باکتریهای دهان را مهار کند. این باکتریها با تجزیه قندها و کربوهیدراتها، اسید تولید میکنند که به مینای دندان آسیب میرساند. با مهار این باکتریها، فلوراید از تولید اسید و در نتیجه پوسیدگی دندان جلوگیری میکند.
فلوراید با فرآیندی بهنام «رمینرالیزاسیون» (بازسازی مواد معدنی) به حفظ سلامت دندان کمک میکند. هنگامی که دندان در معرض اسید قرار میگیرد، مواد معدنی مانند کلسیم و فسفر از مینای دندان خارج میشوند.
فلوراید یک بلوک ساختمانی قویتری بهنام فلوراپاتیت تشکیل میدهد که دندانهای شما را در برابر ازدستدادن مواد معدنی مقاومتر میکند؛ با این کار از پیشرفت پوسیدگی جلوگیری میکند و حتی ممکن است مراحل اولیه پوسیدگی را معکوس کند. بههمیندلیل برای پیشگیری از پوسیدگی توصیه میشود.
تاریخچه و توسعه فلوراید تراپی در علم دندانپزشکی
درمان فلوراید اولین بار در دهه ۱۹۴۰ میلادی بهعنوان یک راهکار پیشگیری از پوسیدگی دندان معرفی شد. در ابتدا، افزودن فلوراید به آب آشامیدنی بهعنوان یک اقدام عمومی در بسیاری از کشورها اعمال شد.
مطالعات نشان دادند که میزان پوسیدگی دندان در جوامعی که از آب فلورایددار استفاده میکردند، بهطور چشمگیری کاهش یافته است. از آن زمان تاکنون، درمان فلوراید بهصورت گسترده در قالب خمیردندانها، دهانشویهها و درمانهای تخصصی در مطبهای دندانپزشکی مورد استفاده قرار گرفته است.
فواید فلوراید تراپی برای دندانها


از جمله فواید این روش میتوان به موارد زیر اشاره کرد:
- قویکردن مینای دندان: فلوراید به بدن کمک میکند تا از مواد معدنی مانند کلسیم و فسفات بهتر استفاده کند. دندانها این مواد معدنی را مجدداً جذب میکنند تا مینای ضعیف دندان را ترمیم کنند؛
- پیشگیری از پوسیدگی دندانها: فلوراید باعث تقویت مینای دندان و کاهش خطر پوسیدگی میشود. این ماده هنگام تشکیل دندانها، به ساختار دندان میپیوندد تا مینای دندانها را تقویت و آنها را در برابر باکتریها و پوسیدگیها برای تمام عمر کمتر آسیبپذیر کند.
- ترمیم مراحل اولیه پوسیدگی: اگر پوسیدگی دندان در مراحل اولیه باشد، با آسیبرساندن به باکتریهایی که باعث پوسیدگی میشوند، روند ایجاد پوسیدگی را کند یا حتی معکوس میکند.
- افزایش مقاومت دندانها: فلوراید باعث افزایش مقاومت دندانها در برابر حملات اسیدی ناشی از مواد غذایی و باکتریها میشود.
- کاهش هزینههای درمانی: با پیشگیری از پوسیدگی و مشکلات دندانی، نیاز به درمانهای پرهزینه مانند پرکردن دندان یا عصبکشی کاهش مییابد.
دندان های شکسته و لب پر شده علاوه بر بروز دردهای مداوم، موجب نا زیبا شدن چهره شده و طرح لبخند فرد را تحت شعاع قرار می دهد. البته اگر دندان شکسته در ردیف جلو فک بالا و پایین قرار داشته باشد، مشکلات ظاهری بیشتری را برای چهره فرد و طرح لبخند او به وجود می آورد. برای اطلاعات بیشتر پیشنهاد میکنیم مطلب “ترمیم دندان شکسته” را مطالعه کنید.
با جلوگیری از پوسیدگی و کندکردن رشد باکتریها، درمان فلوراید ممکن است:
- از بیماری لثه جلوگیری کند؛
- درد دندان را کاهش دهد؛
- از ازدستدادن زودهنگام دندانها پیشگیری کند.
درمانهای فلوراید میتوانند سلامت دهان را بهبود دهند که طبق گفته سازمان بهداشت جهانی (WHO)، یک پیشبینیکننده مهم سلامت کلی است. سلامت ضعیف دهان میتواند باعث ایجاد طیفی از مشکلات دیگر سلامتی، از جمله بیماریهای قلبی عروقی شود.
چه کسانی به فلوراید تراپی نیاز دارند؟
مراکز کنترل و پیشگیری از بیماریها (CDC) و انجمن دندانپزشکی آمریکا (ADA) توصیه میکنند که قرارگرفتن مکرر و روزانه در معرض مقادیر کم فلوراید، بهترین روش برای کاهش خطر پوسیدگیهای دندانی برای تمام سنین است.


برای اکثر افراد، این به معنای نوشیدن آب لولهکشی با سطح بهینه فلوراید و مسواکزدن دندانها دو بار در روز با خمیردندان فلورایددار است. برای کودکان و بزرگسالانی که ممکن است در معرض خطر بیشتری برای پوسیدگی باشند، درمانهای فلوراید میتواند مزایای اضافه داشته باشد.
برخی از گروههای خاص که بیشتر از دیگران به این درمان نیاز دارند، عبارتاند از:
- کودکان و نوجوانان: دندانهای در حال رشد آنها نیاز به محافظت بیشتری دارند؛
- افراد با سابقه پوسیدگی دندان: افرادی که قبلاً دچار پوسیدگی شدهاند، بیشتر در معرض خطر پوسیدگی مجدد هستند؛
- افراد مبتلا به خشکی دهان: خشکی دهان که موجب کاهش تولید بزاق میشود، زمینهساز پوسیدگی دندان است. بزاق به شستشوی مواد غذایی و خنثیکردن اسیدهای تولیدشده توسط باکتریها کمک میکند. کسانی که دچار خشکی دهان هستند، بیشتر در معرض خطر پوسیدگی قرار دارند. بنابراین درمان فلوراید برای این دسته از افراد بسیار مفید است.
- افرادی که از بریسها یا روکشهای دندانی استفاده میکنند: وسایل ارتودنسی و روکشها میتوانند تمیزکردن کامل دندانها را دشوار کنند و باعث تجمع پلاک و در نتیجه پوسیدگی شوند.
- افراد مسن: در سنین بالا، تحلیل لثهها و کاهش بزاق میتواند خطر پوسیدگی ریشه دندانها را افزایش دهد. درمان فلوراید میتواند از این مشکل جلوگیری کند.
- افراد با رژیم غذایی نامناسب: افرادی که از رژیمهای غذایی با قند بالا یا نوشیدنیهای اسیدی استفاده میکنند، بیشتر در معرض پوسیدگی هستند و نیاز بیشتری به فلوراید دارند.
- افرادی که در مناطقی زندگی میکنند که آب آنها حاوی فلوراید نیست: چنین افرادی ممکن است از درمانهای منظم فلوراید مزایای قابلتوجهتری کسب کنند.
عفونت لثه یا التهاب لثه یکی از بیماری های شایع دهان و دندان است. که به دلیل تجمع باکتری اطراف لثه بروز پیدا می کند و می بایست توسط پزشک متخصص، تشخیص داده شود و اقدامات لازم جهت رفع آن انجام شود. برای مطالعه بیشتر مطلب لینک شده را پیشنهاد میکنیم.
روشهای مختلف فلوراید تراپی
درمان فلوراید میتواند به روشهای مختلفی انجام شود و هرکدام از این روشها میزان فلوراید متفاوتی را به دندانها میرسانند:
خمیردندانهای فلورایددار
سادهترین و عمومیترین روش دریافت فلوراید، استفاده از خمیر دندانهای فلورایددار است. بیشتر خمیردندانها حاوی فلوراید هستند و استفاده روزانه از آنها به تقویت مینای دندان کمک میکند.
دهانشویههای فلورایددار
دهانشویههای حاوی فلوراید میتوانند بهعنوان یک مکمل در کنار مسواکزدن و نخ دندان استفاده شوند. این محصولات بهویژه برای افرادی که در معرض خطر بالای پوسیدگی هستند، مفیدند.
ژل یا فوم فلوراید
این روش معمولاً در مطب دندانپزشکی انجام میشود. ژل یا فوم فلوراید با غلظت بالایی از فلوراید روی دندانها قرار میگیرد و برای چند دقیقه باقی میماند تا فلوراید جذب شود. این روش معمولاً هر ۶ ماه یکبار توصیه میشود.
وارنیش فلوراید
وارنیش یا لاک فلوراید یک لایه نازک از فلوراید است که توسط دندانپزشک روی دندانها اعمال میشود. این روش برای کودکان و بزرگسالانی که نیاز به محافظت بیشتر دارند، بسیار مناسب است.
فلوراید سیستمیک (آب آشامیدنی فلورایددار)
در برخی از مناطق، فلوراید به آب آشامیدنی اضافه میشود. این روش که بهعنوان فلوراید سیستمیک شناخته میشود، به تقویت دندانها بهویژه در دوران رشد آنها، از داخل بدن کمک میکند.
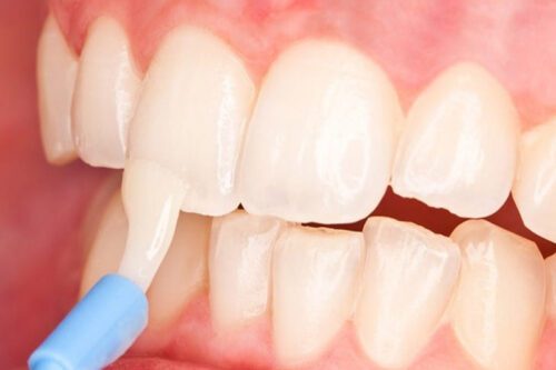
مراحل انجام فلوراید تراپی در مطب دندانپزشکی


درمان فلوراید در مطب دندانپزشکی یک فرآیند ساده، سریع و بدون درد است. اگر میخواهید بدانید فلوراید تراپی چگونه انجام میشود؟ مراحل معمول این درمان شامل موارد زیر است:
تمیزکردن دندانها
ابتدا دندانپزشک یا بهداشتکار دهان و دندان، دندانها را بهطور کامل تمیز و پلاک و جرمها را از سطح دندانها پاک میکند.
آمادهسازی فلوراید
دندانپزشک از ژل، فوم یا وارنیش فلوراید استفاده میکند. این مواد حاوی غلظت بالایی از فلوراید هستند و میتواند بهسرعت توسط مینای دندان جذب شود.
اعمال فلوراید
ماده فلوراید بهوسیله یک برس کوچک، سینی مخصوص یا بهصورت مستقیم روی دندانها اعمال میشود. در صورتی که از سینی استفاده شود، بیمار باید آن را برای چند دقیقه در دهان نگه دارد.
دستورالعملهای پساز درمان
پساز اتمام درمان فلوراید، دندانپزشک از بیمار میخواهد که تا ۳۰ دقیقه از خوردن، آشامیدن و شستشوی دهان خودداری کند. این کار به فلوراید اجازه میدهد تا بهخوبی جذب مینای دندان شود.
آیا فلوراید تراپی بیخطر است؟
درمان فلوراید هنگامی که بهدرستی و تحت نظارت دندانپزشک انجام شود، کاملاً بیخطر است. بااینحال، عوارض فلوراید تراپی هم وجود دارد و استفاده بیشازحد از فلوراید ممکن است منجر به وضعیتی بهنام «فلوئوروزیس» شود.
فلوئوروزیس دندان یک مشکل زیبایی است که معمولاً بهصورت لکههای سفید یا قهوهای روی سطح دندانها ظاهر میشود. این وضعیت زمانی اتفاق میافتد که کودک درحالیکه دندانهای شیری و دائمی او زیر لثه در حال رشد هستند، بیشازحد فلوراید مصرف کند.
کودک میتواند از بدو تولد تا 8 سالگی به فلوروزیس مبتلا شود. تغییر رنگ در کودکان خردسالی که بیشازحد فلوراید مصرف میکنند، چه بهدلیل مصرف مکملهای فلوراید یا بلعیدن خمیردندان، شایعتر است. بااینحال، فلوئوروزیس تنها یک مشکل زیبایی محسوب میشود و تأثیری بر عملکرد یا سلامت دندانها ندارد.
برای جلوگیری از بروز فلوئوروزیس مهم است که والدین میزان مصرف فلوراید کودکان خود را تحت نظر داشته باشند و از دندانپزشک در مورد مقدار مناسب فلوراید برای فرزندانشان مشاوره بگیرند. همچنین در بزرگسالان، استفاده از محصولات حاوی فلوراید بهصورت منظم و با رعایت دستورالعملهای دندانپزشکی کاملاً بیخطر است.
یکی دیگر از عوارض فلوراید تراپی این است که بعضی افراد ممکن است به فلوراید واکنش آلرژیک نشان دهند یا تحریک پوستی را تجربه کنند؛ اگرچه این واکنشها نادر هستند. همچنین اگر فردی فلوراید را بهطور نادرست یا در دوزهای بسیار بالا استفاده کند، میتواند سمی باشد. بااینحال، این امر غیرمعمول است.
فلوراید تراپی برای کودکان: چه نکاتی باید رعایت شود؟
پوسیدگیهای دندانی شایعترین بیماری مزمن دوران کودکی هستند؛ پنجبرابر شایعتر از آسم. آکادمی اطفال آمریکا (AAP) درمان فلوراید را برای همه کودکان به محض شروع رشد دندانهایشان توصیه میکند تا از پوسیدگی، درد و عفونتهای دندانی آینده جلوگیری شود.
دندانپزشکان باید فلوراید تراپی کودکان را هر 3-6 ماه یکبار، بسته به خطر پوسیدگی دندان کودک، تکرار کنند. برای کاهش خطر قرارگرفتن بیش از حد در معرض فلوراید، دندانپزشکان موارد زیر را هم توصیه میکنند:
- مقدار فلوراید: مراقبان باید دندانهای کودکان را با مقدار کمی خمیردندان فلورایددار مسواک بزنند تا پوسیدگی را کاهش دهند و خطر فلوروزیس را به حداقل برسانند. برای کودکان زیر 3 سال، از مقداری خمیردندان فلورایددار بهاندازه یک دانه برنج استفاده کنید. برای کودکان 3-6 ساله، از مقداری خمیردندان فلورایددار به اندازه یک نخود استفاده کنید.
- آموزش استفاده صحیح از خمیردندان: مراقبان باید همیشه بر مسواکزدن کودک نظارت کنند تا مطمئن شوند که از مقدار صحیح خمیردندان استفاده میکند و سعی کنند او را تشویق کنند تا در صورت امکان بیشتر خمیر دندان را تف کند.
- استفادهنکردن از دهانشویه: کودکان زیر 6 سال نباید از شستشودهندههای فلوراید خانگی مانند دهانشویه استفاده کنند؛ زیرا ممکن است بیشازحد فلوراید قورت دهند.
- توجه به آب آشامیدنی: والدین باید از میزان فلوراید موجود در آب آشامیدنی منطقه خود آگاه باشند. اگر آب آشامیدنی حاوی فلوراید کافی نباشد، دندانپزشک ممکن است فلوراید تراپی کودکان یا مکملهای فلورایددار را توصیه کند.
سؤالات متداول
- آیا میتوانم خودم از ژل یا وارنیش فلوراید در خانه استفاده کنم؟
درمان فلوراید حرفهای باید توسط دندانپزشک انجام شود؛ زیرا غلظت فلوراید در ژلها و وارنیشهای حرفهای بسیار بالاتر از محصولات خانگی است. استفاده نادرست از این محصولات میتواند منجر به مشکلاتی مانند فلوئوروزیس یا حساسیت دندانها شود.
- آیا فلوراید تراپی برای زنان باردار بیخطر است؟
سطوح طبیعی دریافت فلوراید معمولاً برای زنان باردار در سه ماهه دوم و سوم بارداری بیخطر است. در واقع، فلوراید میتواند به تقویت دندانهای جنین و پیشگیری از پوسیدگی دندان در آینده کمک کند؛ مشروط بر اینکه فلوراید در مقادیر زیاد بلعیده نشود.
- آیا درمان با فلوراید جایگزین مسواکزدن و نخ دندانکشیدن است؟
خیر، این روش جایگزین مسواکزدن و نخ دندانکشیدن نیست. مسواکزدن و نخ دندانکشیدن بهطور منظم برای حفظ سلامت دهان و دندان ضروری هستند. فلوراید تراپی بهعنوان یک روش مکمل برای تقویت مینای دندان و پیشگیری از پوسیدگی استفاده میشود.
سخن پایانی
فلوراید تراپی یک روش درمانی ساده، ایمن و مؤثر برای پیشگیری از پوسیدگی دندان است. این روش با تقویت مینای دندان و مهار باکتریهای دهان، بهطور قابلتوجهی خطر پوسیدگی را کاهش میدهد. درمان فلوراید برای همه افراد، بهویژه کودکان و افرادی که در معرض خطر بالای پوسیدگی دندان هستند، توصیه میشود. با رعایت بهداشت دهان و دندان، انجام درمان فلوراید بهطور منظم و مراجعه به دندانپزشک برای معاینات دورهای میتوانید سلامت دهان و دندان خود را حفظ و از پوسیدگی دندان جلوگیری کنید.




3 پاسخ
مقاله خیلی خوبی بود، مرسی! یه سوال، آیا استفاده از دهانشویههای فلورایددار بهاندازه فلوراید تراپی در مطب مؤثره؟ یعنی اگه بهصورت روزانه دهانشویه استفاده کنیم، دیگه نیازی به مراجعه به دندانپزشک برای این درمان نداریم؟ یا این دو تا روش تأثیر متفاوتی دارن؟
ممنون بابت مقاله جامع و مفیدی که نوشتید! یه سوال داشتم، معمولاً همیشه صحبت از فلوراید تراپی برای بچهها و پیشگیری از پوسیدگی در سنین پایین میشه، اما برای ما بزرگسالها هم مفیده؟ من چند تا ترمیم روی دندونام دارم و دندونپزشکم گفته که باید بیشتر مراقب باشم تا بقیه دندونام دچار پوسیدگی نشه. آیا این روش برای جلوگیری از پوسیدگیهای جدید هم تأثیر داره؟ یا بیشتر برای دندونای در حال رشد مناسبه؟ 😕 همچنین، این که گفته میشه فلوراید میتونه حتی پوسیدگیهای اولیه رو معکوس کنه، آیا واقعاً امکان داره که دندونی که تازه داره پوسیده میشه، بدون نیاز به پرکردن دوباره سالم بشه؟ خیلی دوست دارم قبل از تصمیمگیری بیشتر بدونم، ممنون ازتون!
سلام و وقت بخیر! من دندونام همیشه به سرما و گرما خیلی حساس بودن و حتی مسواکزدن هم بعضی وقتا باعث درد میشه. چند بار دندانپزشک بهم پیشنهاد داده که فلوراید تراپی انجام بدم، ولی هنوز مطمئن نیستم. میخواستم بدونم که آیا این روش واقعاً برای کاهش حساسیت دندونها مؤثره؟ یعنی اگه کسی دندوناش حساس باشه، بعد از فلوراید تراپی ممکنه بهتر بشه یا ممکنه اولش حساسیت بیشتر بشه؟ همچنین، این درمان موقتیه یا باید بهصورت دورهای تکرار بشه؟ ممنون میشم اگه کسی تجربهای داشته باشه، راهنمایی کنه.