فرآیند ایمپلنت دندان جلو شامل چندین مرحله، از جمله معاینات اولیه، تهیه تصاویر رادیوگرافی، بررسی تراکم استخوان فک و در صورت نیاز پیوند استخوان است. سپس، دندانپزشک با ایجاد یک برش کوچک در لثه، پایه تیتانیومی ایمپلنت را درون استخوان فک قرار میدهد. پس از طی شدن دوره ترمیم و جوش خوردن استخوان با ایمپلنت، اباتمنت و تاج دندان روی آن نصب میشود و ظاهر و عملکرد طبیعی دندان را بازمیگرداند. مزایای ایمپلنت دندان جلو شامل دوام بالا، حفظ تراکم استخوان فک و عدم نیاز به آسیب رساندن به دندانهای مجاور است. برخلاف بریج دندان، این روش از تحلیل رفتن استخوان فک جلوگیری کرده و فرم صورت را حفظ میکند. همچنین، امکان ایمپلنت فوری در برخی شرایط خاص وجود دارد که طی آن، تمامی مراحل کاشت پایه و نصب تاج دندان در یک روز انجام میشود. برای حفظ نتایج طولانیمدت، رعایت بهداشت دهان و دندان و انجام چکاپهای منظم نزد دندانپزشک ضروری است.
| موضوع | توضیحات دقیق و کاربردی |
|---|---|
| مراحل کاشت ایمپلنت دندان جلو | مرحله ۱: معاینه کامل و تهیه تصاویر رادیوگرافی. مرحله ۲: تعیین کیفیت و تراکم استخوان فک و در صورت نیاز، پیوند استخوان. مرحله ۳: کاشت پایه ایمپلنت در استخوان فک. مرحله ۴: انتظار برای جوش خوردن پایه ایمپلنت (۳ تا ۶ ماه). مرحله ۵: نصب تاج دندان روی ایمپلنت و تنظیم نهایی. |
| شرایط لازم برای کاشت ایمپلنت جلو | تراکم استخوان کافی در فک برای پشتیبانی از پایه ایمپلنت. عدم ابتلا به بیماریهای زمینهای که روند بهبودی را کند میکند. بهداشت مناسب دهان و دندان برای جلوگیری از عفونت. عدم استعمال دخانیات که بر فرآیند جوش خوردن ایمپلنت تأثیر منفی دارد. |
| مدت زمان درمان چقدر است؟ | ۴ تا ۶ ماه بسته به شرایط استخوان و وضعیت بیمار. ایمپلنت فوری: در برخی شرایط خاص، میتوان ایمپلنت را در یک روز نصب کرد. |
| هزینه ایمپلنت دندان جلو | هزینه بستگی به تعداد ایمپلنتها، روش کاشت، کیفیت مواد و تخصص دندانپزشک دارد. بهتر است قبل از شروع درمان، مشاوره بگیرید و درباره هزینهها توافق کنید. |
راهنمای صوتی
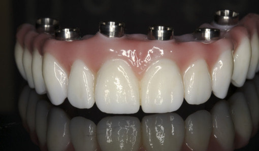
عکس ایمپلنت دندان جلو به صورت زیر است:


مراحل کاشت ایمپلنت دندان جلو
نحوه ایمپلنت دندان جلو به صورت زیر است:


- انجام معاینات و آزمایشهای ضروری
- تهیه تصاویر رادیوگرافی از دندان
- انجام آزمایش سنجش میزان تراکم استخوان فک
- انجام پیوند استخوان برای ایمپلنت دندان فک در صورت صلاحدید دندانپزشک
- ایجاد حفره در استخوان فک در محل کاشت ایمپلنت
- گذشتن مدت زمان انتظار برای ترمیم بافت لثه و جوش خوردن استخوان
- نصب فیکسچر ایمپلنت دندان
- نصب اباتمنت روی فیکسچر؛ اباتمنت چیست؟ یکی از اجزای ایمپلنت دندان است که بین فیکسچر و تاج دندان قرار میگیرد
- نصب تاج دندان
- انجام دقیق مراقبتهای دوران نقاهت حتی در صورت استفاده از بهترین برند ایمپلنت آلمانی یا سوئیسی
به نقل از سایت familydentistottawa.com درباره ایمپلنت دندان جلویی:
Replacing a single front tooth can present its own challenges associated with the high visibility of the dental prosthetic when smiling.
Often, the determining factors of the successful front tooth replacement are:
- The level of expectation that the patients have that the new tooth will look indistinguishable from natural teeth around it
- The prominence the new tooth has in the smile
Dental implant posts come in various dimensions of width and length. As front teeth are used for tearing food, it is preferred to use an implant of the maximum size. Through a thorough examination prior to the oral surgery procedure, the dental implant dentist or oral surgeon will be able to decide on just the right size of the metal post to support the new tooth.
جایگزینی یک دندان تکی در ناحیه جلوی دهان میتواند چالشهایی خاص خود را داشته باشد، چرا که پروتز دندانی در این ناحیه هنگام لبخند زدن بهوضوح قابل مشاهده است.
موفقیتآمیز بودن این نوع جایگزینی معمولاً به دو عامل بستگی دارد:
سطح انتظارات بیمار از اینکه دندان جدید کاملاً با دندانهای طبیعی اطراف خود یکسان و غیرقابل تشخیص باشد
میزان دیده شدن دندان جدید در لبخند بیمار
پایههای ایمپلنت دندانی در ابعاد مختلفی از نظر طول و عرض تولید میشوند. از آنجا که دندانهای جلویی برای پاره کردن غذا بهکار میروند، معمولاً ترجیح داده میشود که از ایمپلنتهایی با بیشترین اندازه ممکن استفاده شود. با انجام معاینات دقیق قبل از جراحی دهان، دندانپزشک یا جراح دهان میتواند بهترین اندازه پایه فلزی را برای پشتیبانی از دندان جدید انتخاب کند.
نحوه ایمپلنت دندان جلو
برای کاشت ایمپلنت دندان های جلو فک بالا و پایین ابتدا دندانپزشک معاینات و آزمایش های اولیه را انجام می دهد. تا براساس نتیجه معاینات، آزمایش ها و سنجش میزان تراکم استخوان فک (تصاویر رادیوگرافی از دندان و آزمایش سنجش تراکم استخوان فک)، پروسه کاشت ایمپلنت دندان های جلو را آغاز کند. بدین منظور ابتدا در ناحیه موردنظر روی لثه یک برش ایجاد می کنند.


سپس با ابزار مخصوص استخوان فک سوارخ شده و فیکسچر درون آن قرار می گیرد. در پایان نیز پس از جوش خوردن پایه ایمپلنت با استخوان فک، تاج دندان روی آن نصب می گردد. البته باید توجه داشته باشید که برای نصب ایمپلنت فوری دندان های جلو، تمامی مراحل کاشت پایه و نصب تاج دندان در یک روز انجام می شود.
هزینه ایمپلنت دندان های جلو چقدر است؟
هزینه این دسته از خدمات زیبایی و ترمیمی دندانپزشکی نیز براساس تعداد دندان های از دسته رفته، کیفیت ایمپلنت، روش کاشت، میزان تخصص دندانپزشک و جلسات درمان محاسبه می شود. بنابراین نمی توان یک قیمت ثابت را برای آن مشخص کرد. در صورتی که قصد کاشت ایمپلنت دندان جلو برای فک بالا یا پایین دارید، حتماً در خصوص هزینه کاشت با دندانپزشک خود صحبت کرده و به توافق برسید.
شرایط خاص برای ایمپلنت دندان های جلو
همان گونه که در ابتدا نیز به آن اشاره کردیم، کاشت ایمپلنت دندان جلو، نیازمند داشتن یک سری شرایط خاص و منحصر به فرد است. در واقع تا زمانی که بیمار این شرایط را نداشته باشد، نمی توان از این روش برای کاشت دندان استفاده کرد.


بدین منظور شرایط خاص کاشت ایمپلنت دندان های جلو فک بالا و پایین به شرح زیر عبارت است از:
1. بهره مندی از تراکم مناسب در استخوان فک
یکی از مهمترین شرایط برای ایمپلنت دندان جلو، تراکم کافی در استخوان فک بالا و پایین است. زیرا تا زمانی که تراکم استخوان فک در حد مطلوب نباشد، نمی توان فرآیند سوراخ کردن استخوان فک و کاشت ایمپلنت را انجام داد. بنابراین برای کاشت ایمپلنت دندان جلو حتماً با انجام معاینات و آزمایش های تخصصی نسبت به میزان تراکم استخوان فک و کیفیت آن اطمینان حاصل کنید. اطلاعات کاملی در مقاله پودر استخوان و کاربرد آن در ایمپلنت جمع آوری شده تا آگاهی کامل و مفیدی را برای شما ایجاد نماید.
2. داشتن سلامت جسمی کافی و مورد تأئید دندانپزشک
برای کاشت دندان جلو به روش ایمپلنت دندان نیز مانند سایر جراحی های ترمیمی و زیبایی دندان باید شرایط جسمی فرد در حد ایده آل قرار داشته باشید. در واقع هرگونه بیماری زمینه ای و اختلال در عملکرد بخش های مختلف بدن، ممکن است این جراحی زیبایی دندانپزشکی را تحت تأثیر قرار دهد. بدین ترتیب اگر از بیماری یا اختلال خاصی رنج می برید، حتماً دندانپزشک را مطلع سازید.پ


3. مراقبت مستمر از بهداشت دهان و دندان
برای انجام کلیه جراحی ها و خدمات دندانپزشکی سلامت دهان و دندان از اهمیت بالایی برخوردار است. به دلیل اینکه کوتاهی در حفظ بهداشت دهان و دندان می تواند زمینه ساز انواع عفونت، قارچ و باکتری در دهان و بین دندان ها باشد. بنابراین قبل از اقدام به کاشت ایمپلنت دندان جلو بهداشت دهان و دندان را رعایت نمایید. علاوه بر این تا پایان دوره نقاهت و بهبودی به توصیه های بهداشتی دندانپزشک توجه کنید و در صورت بروز هرگونه عفونت لثه، التهاب لثه و استخوان فک سریعاً به دندانپزشک معالج تان اطلاع دهید. انجام مراقبت های بعد از گذاشتن پیچ ایمپلنت اهمیت بالایی دارد.


مزایای ایمپلنت دندان های جلو فک بالا و پایین
کاشت ایمپلنت دندان جلو نیز مانند سایر روش های کاشت دندان های مصنوعی مزایای خاص خود را دارد. به عبارتی می توان گفت مزایای منحصر به فرد این روش سبب شده تا در سال های اخیر شاهد افزایش استفاده از آن باشیم. در این راستا بعضی از اصلی ترین و مهمترین مزایای کاشت ایمپلنت دندان های جلو به قرار زیر است:
- شباهت فراوان ظاهری و عملکرد به دندان های طبیعی؛ این مزیت سبب شده تا بسیاری از افراد نتوانند ایمپلنت های کاشته شده را از دندان های طبیعی فرد تشخیص دهند.
- طول عمر بسیار بالا و دائمی بودن؛ مدت زمان ماندگاری و طول عمر ایمپلنت دندان جلو براساس کیفیت ایمپلنت، روش کاشت و نحوه مراقبت از دندان ها بین 20 تا 25 سال است. از این رو می توان گفت این روش کاشت دندان دائمی محسوب می شود و تا پایان عمر افراد میانسال همراه آنها خواهد بود.
- جلوگیری از تغییر شکل ظاهری و ساختاری لب و استخوان فک
- عدم تحلیل استخوان فک
- نظم در دندان های جلو و حفظ طرح لبخند فرد در طولانی مدت
- حفظ سلامت دهان و دندان و جلوگیری از بروز عفونت های پی در پی ناشی از عفونت
- مصرف آسان و راحت انواع مواد غذایی و نوشیدنی (بهبود قدرت جویدن مواد خوراکی)
در رابطه با مزایای ایمپلنت دندان های جلو در سایت www.costellodental.com آمده است که :
The Benefits of Dental Implants For the Front Teeth
When you’re missing a front tooth, your options for replacement include a dental bridge and a partial denture (sometimes called a “flipper”). But dental implants will give you many advantages that you simply can’t get from a bridge or denture, including:
- A dental bridge requires the teeth on either side of an empty space to be ground down for dental crowns, which permanently alters them. An implant won’t affect the adjacent teeth at all.
- Implants preserve your jawbone, which helps you maintain a youthful facial structure over time.
- Dental implants replace both the root and crown of your missing front tooth, which provides dramatically better stability and chewing strength than other options.
فواید ایمپلنت های دندانی برای دندان های جلویی
وقتی دندان جلویی را از دست میدهید، گزینههای جایگزینی شما شامل بریج دندان و پروتز جزئی (که گاهی اوقات «بالا» نیز نامیده میشود) است. اما ایمپلنتهای دندانی مزایای زیادی به شما میدهند که به سادگی نمیتوانید از پل یا پروتز به دست آورید، از جمله:
برای بریج دندانی نیاز است که دندانهای دو طرف فضای خالی برای روکشهای دندانی به زمین کشیده شوند که بهطور دائم آنها را تغییر میدهد. ایمپلنت به هیچ وجه روی دندان های مجاور تاثیر نمی گذارد. ایمپلنتها استخوان فک شما را حفظ میکنند، که به شما کمک میکند ساختار صورت را در طول زمان حفظ کنید. ایمپلنتهای دندانی جایگزین ریشه و تاج دندان جلویی از دست رفته شما میشوند که به طور چشمگیری ثبات و قدرت جویدن بهتری را نسبت به سایر گزینهها ارائه میدهد.
دلایل اهمیت ایمپلنت دندان جلو
در مورد اهمیت ایمپلنت دندان های فک جلو در یکی از منابع دندان پزشکی به نام nofrills dental این گونه آمده است:
Dental implants are screws placed surgically into your jawbone, to support a dental prosthesis such as a crown, bridge, facial prosthesis or to act as an orthodontic anchor. It is an ideal option for patients with a good standard of oral health who have lost their teeth due to gum disease, traumatic injuries, failure of root canal treatment etc. In these cases, having a dental implant to replace a single front tooth is easily the most reliable, predictable and comfortable dental procedure with a success rate of 90-95%. It has become a treatment of choice for most dentists and is more reliable than dentures and conventional dental bridges.
مواجه شدن با عارضه از دست دادن دندانهای جلو به هر دلیلی که باشد مثل درگیری با بیماریهای لثه، آسیبهای ترومایی، شکست درمان ریشه، افزایش سن و …. واقعا دردناک است و در این شرایط میتوان برای بازگردانی عملکرد و زیبایی طبیعی دندانهای جلو از ایمپلنت کمک گرفت درمان کاشت ایمپلنت بهترین گزینه برای خلاص شدن از شر دردسرهای خالی ماندن جای دندانهای از دست رفته محسوب میشود.


مزایای ایمپلنت برای پر کردن جای خالی دندانهای جلو
- قابل اطمینان و درصد موفقیت بیشتر از 90%
- پیش بینی آسان نتیجه نهایی درمان توسط دندانپزشکان
- انتخاب اول تمامی متخصصان دندانپزشکی زبیابب ترمیم
- کیفیت بالای ایمپلنتهای دندانی
- قابل اعتماد بودن این روش درمانی برای مدت طولانی و ….
ایمپلنت دندان جلو چیست؟
به طور کلی ایمپلنت دندان جلو یک روش درمانی مؤثر و کاربردی در دندانپزشکی زیبایی است که برای روش های جایگزینی دندان از دست رفته در بخش جلوی فک بالا و پایین مورد استفاده قرار می گیرد دندانپزشک اگر نیاز باشد جراحی دندان عقل نهفته و یا غیر نفته را نیز انجام می دهد. متأسفانه در بسیاری از حوادث به دلیل ضربه شدید به صورت افراد دندان های قسمت جلوی فک بالا یا پایین را از دست می دهند. که در این گونه مواقع اگر افراد شرایط ایمپلنت دندان جلو فک بالا یا پایین را داشته باشند، می توانند با این روش ضمن اصلاح طرح لبخند، زیبایی چهره و قدرت جویدن مواد غذایی را مثل سابق بدست بیاورند.


البته باید توجه داشته باشید که ایمپلنت دندان جلو جزء روش های درمانی مهم و پیچیده دهان و دندان می باشد. چرا که به عقیده بسیاری از دندانپزشکان جهان برای ایمپلنت دندان های جلو، باید استخوان کافی در قسمت جلوی فک بالا و پایین فرد وجود داشته باشد. در غیر این صورت انجام این روش کاشت ایمپلنت های دندانی با مشکل مواجه می گردد. بنابراین اگر قصد کاشت دندان جلو بالا یا پایین دارید، ابتدا از دندانپزشک بخواهید تا کیفیت استخوان فک شما را بررسی نموده و سپس در این باره نظر قطعی را به شما اعلام کند.
سخن آخر
کاشت ایمپنت دندان جلو به عنوان یکی از روش های کاربردی بازیابی دندان های از دسته رفته و اصلاح طرح لبخند از مزایای فراوانی برخوردار است. البته باید توجه داشته باشید که انجام آن نیازمند داشتن یک سری شرایط خاص می باشد. پس برای کاشت ایمپلنت دندان های جلو حتماً به دندانپزشکان حرفه ای و متخصص مراجعه کنید. تا ضمن انجام آزمایش و معاینات دقیق بهترین روش برای کاشت دندان و بازیابی طرح لبخندتان مورد استفاده قرار گیرد. در صورت داشتن هرگونه سؤال و درخواست در این زمینه می توانید با تیم پزشکی و کارشناسان ما در وب سایت دکتری وزیری ارتباط برقرار کنید.
سوالات متداول
- اگر پس از کاشت دندان جلو ایمپلنت لق شد، چکار باید کرد؟
به طور معمول ایمپلنت های دندان قابل ترمیم و بازسازی هستند. بنابراین هنگام بروز این مشکل سریعاً دندانپزشک معالج را مطلع سازید، تا اقدامات لازم جهت رفع این مشکل انجام شود.
- دلایل اصلی کاشت ایمپلنت دندان جلو چیست؟
از بین مهمترین دلایل رایج برای کاشت ایملنت دندان های جلو می توان به پوسیدگی شدید دندان، ضربه به فک و دندان های جلو، شکست درمان آندو و ترک خوردگی زیاد دندان ها اشاره کرد.
- کاشت ایمپلنت دندان جلو چه مدت زمان به طول می انجامد؟
معمولاً کاشت ایمپلنت دندان های جلویی فک بالا و پایین بین 4 تا 6 ماه طول می کشد.
- آیا میتوان ایمپلنت دندان جلو را با روکش موقت جایگزین کرد تا در طول درمان، جای خالی دندان مشخص نباشد؟
بله، در بسیاری از موارد، دندانپزشکان از روکشهای موقت برای پوشاندن محل ایمپلنت استفاده میکنند تا بیمار در طول فرآیند درمان، بدون دندان نباشد. این روکشها معمولاً از جنس رزین ساخته شده و تا زمان نصب تاج اصلی روی ایمپلنت باقی میمانند. البته، در برخی شرایط خاص، امکان ایمپلنت فوری وجود دارد که در آن، روکش دائمی در همان جلسه اول نصب میشود.
- در صورت تحلیل رفتن استخوان فک، آیا همچنان امکان کاشت ایمپلنت دندان جلو وجود دارد؟
بله، اگر استخوان فک به اندازه کافی برای پشتیبانی از ایمپلنت قوی نباشد، دندانپزشک ممکن است پیوند استخوان را پیشنهاد کند. در این روش، از مواد پیوندی (استخوان طبیعی یا مصنوعی) برای تقویت استخوان فک استفاده میشود. پس از گذشت چند ماه و تثبیت استخوان، امکان کاشت ایمپلنت فراهم میشود.




20 پاسخ
از نظر زیبایی خیلی برام مهمه که دندون جدید با بقیه فرقم نکنه. ایمپلنت جلو واقعا از نظر رنگ و فرم کاملا طبیعی درمیاد یا ممکنه مشخص باشه؟
من تراکم استخوان فکم پایینه، دکتر گفت شاید نیاز به پیوند استخوان داشته باشم 😕 کسی تجربه کرده که ایمپلنت جلو با پیوند استخوان انجام داده باشه؟ سخت بود؟
سلام. من به خاطر درمان ریشه ناموفق، دندون جلوییمو کشیدم و الان دنبال بهترین راه برای ایمپلنتم. فقط سوالم اینه که اگه بخوام ایمپلنت فوری انجام بدم، واقعاً همون روز میشه تاج رو هم گذاشت یا فقط پایه میذارن؟ چون نمیخوام جای خالی دندون مشخص باشه. ممنون میشم راهنمایی کنین
سلام به تیم خوبتون. راستش من از قدیم به بهداشت دهن و دندون خیلی اهمیت میدادم ولی چند ماه پیش متاسفانه یکی از دندونای جلو فک پایینم رو از دست دادم. الان خیلی به فکر ایمپلنتم، مخصوصاً چون زیبایی لبخندم حسابی تحت تاثیر قرار گرفته. مقالهتون خیلی جامع بود، فقط یه چیزی ذهنمو مشغول کرده: اینکه میگن اگه تراکم استخوان پایین باشه باید پیوند انجام داد، این چقدر روی زمان کل درمان تأثیر میذاره؟ یعنی اون ۴ تا ۶ ماه درمانی، با پیوند بیشتر میشه؟
و یه چیز دیگه، برای کسی مثل من که اصلاً اهل دخانیات نیستم ولی خب استرس زیادی دارم، ممکنه استرس هم باعث دیر جوش خوردن ایمپلنت بشه؟ چون واقعاً نمیخوام این کار نصفهکاره بمونه یا دچار مشکل شه.
اگر دکتر خاصی رو هم در تهران توصیه میکنید خوشحال میشم معرفی کنین. سپاس فراوان.
سلام وقت بخیر. من متأسفانه به خاطر یه ضربه شدید، یکی از دندونای جلوییمو از دست دادم و واقعاً از نظر روحی و ظاهری اذیت شدم. از چند جا مشاوره گرفتم، بعضیا گفتن ایمپلنت جلو خیلی حساسه چون روی زیبایی لبخند تاثیر مستقیم داره. مقالهتون رو خوندم و خیلی کمکم کرد بفهمم اصلاً پروسه از کجا شروع میشه تا کی تموم میشه. فقط یه سوالی دارم: تو مدتی که پایه ایمپلنت داره جوش میخوره، آیا میشه از روکش موقت استفاده کرد که توی ظاهر مشکلی نداشته باشم؟ چون شاغلم و دائم با مردم در ارتباطم.
یه نکته دیگه هم هست؛ من دچار دیابت کنترلشدهام. آیا این میتونه روی نتیجه کار تأثیر بذاره؟ خیلی نگرانم که بدنم ایمپلنت رو پس بزنه. ممنون میشم اگه راهنمایی کنین یا تجربه مشابهی از کسی شنیدین، بهم بگین
سلام، مقالهای شما درباره مراحل ایمپلنت دندان جلویی خیلی به من کمک کرد که مراحل درمان رو بهتر درک کنم. سوالی داشتم که آیا افرادی که سابقه بیماریهای لثه داشتن هم میتونن از ایمپلنت دندان جلو بهرهمند بشن؟ و در این صورت، آیا معاینات خاصی لازمه که از دندانپزشک انجام بشه تا مطمئن شیم ایمپلنت موفق خواهد بود؟ متشکرم از اینکه این قدر بهصورت واضح و شفاف این موضوع رو توضیح دادید و خیلی به من کمک کرد که تصمیم بگیرم.
سلام، من درباره روشهای جایگزین برای دندانهای جلو اطلاعات کمی دارم. آیا میتوانید بگویید که عکس ایمپلنت دندان جلو معمولاً چه جزئیاتی را نشان میدهد؟ تفاوتهای اصلی بین بریج دندانی و ایمپلنت چیست که باعث میشود ایمپلنت بهتر باشد؟ همچنین، اشاره کردید ایمپلنت فوری در یک روز انجام میشود. آیا فرد نیاز به مراقبت خاصی بعد از این روش فوری ندارد؟ خوشحال میشوم نظرات بیشتری درباره رعایت بهداشت و نگهداری ایمپلنت بشنوم. این مفاهیم برای من جدید و بسیار جالب است.
کاشتن دندان جلو در چند جلسه امکان پذیر هست ؟بعد ار کاشت چه مدت جوش خوردن زمان میبره ؟
مراحل ایمپلنت دندان جلو به چه صورت هست برای انجام آن چند جلسه نیاز هست به مطب مراجعه کنم ؟
ایمپلنت دندان جلو فک بالا به نسبت بقیه ایمپلنت ها دوره درمان بیشتری داره؟
دوره نقاهت ایمپلنت دندان جلو به نسبت بقیه ایمپلنت ها متفاوت هست ؟
از نظر جنس ایمپلنت چون دندان جلو مهم تر هستامکانش هست ایمپلنت آمریکایی استفاده بشه و بقیه دندون ها از برند دیگری استفاده بشه ؟
سلام
الویت لنجام ایمپلنت دندان جلو نسبت به دیگر دندان ها بیشتر هست ؟
بهترین جنس ایمپلنت دندان چیه ؟
هزینه کاشت دندان جلو با بقیه دندان ها چقدر متفاوت هست ؟
طریقه ایمپلنت دندان جلو به چه صورت هست ؟
انجام مراحل ایمپلنت دندان در چند جلسه امکان پذیر هست به نظر شما نیاز به استفاده چه مدت مسکن هست ؟
سلام
بهترین مارک ایمپلنت دندان جلو فک بلا از کدوم برند هست ؟
زمان نقاهت ایمپلنت چقدر هست ؟
سلام
وقت بخیر
میخواستم بدنم با توجه به تثیر زیادی که ایمپلنت دندان جلو در زیایی چهت داره
هزینه کاشت ایمپلنت دندان جلو هم متفاوت هست یا نه ؟
سلام
وقت بخیر
مراحل ایمپلنت دندان جلو ایمپلنت دندان های دیگه متفاوت هست ؟
ممنون میشم در مورد دوران نقاهت هم بگین
سلام
وقت بخیر
در چه صورت مشخص میشه برای ایمپلنت دندان نیاز به پیوند اسنخوان هست؟
در حال حاضر 20 درصد پوکی استخوان دارم میخواستم بدونمامکام انجام ایمپلنت هست یا نه ؟
سلام
طول درمان ایمپلنت دندان جلو با دیگه ایمپلنت ها متفاوت است ؟