بلیچینگ دندان با استفاده از مواد شیمیایی حاوی پراکسید هیدروژن یا کاربامید پراکسید انجام میشود که رنگدانههای دندان را اکسید کرده و روشنتر میکنند. این روش به دو شکل انجام میشود: در مطب دندانپزشکی، دندانپزشک ژل غلیظ را روی دندانها قرار میدهد و با نور یا لیزر آن را فعال میکند تا دندانها در یک یا دو جلسه سفید شوند؛ در روش خانگی، دندانپزشک یک قالب مخصوص برای دندانها میسازد و ژل سفیدکننده ملایم را داخل قالب میریزید و معمولاً چند هفته شبها استفاده میکنید تا نتیجه برسد. در ادامه درباره انواع روشها، مزایا، معایب و نکات مراقبتی بیشتر توضیح میدهیم.
| جزئیات بلیچ | توضیحات |
|---|---|
| بلیچینگ دندان چیست؟ | بلیچینگ روشی غیرتهاجمی برای سفید کردن دندانها است که با استفاده از مواد شیمیایی نظیر پراکسیدها، رنگ دندانها را روشنتر میکند. |
| روش بلیچینگ دندان | این روش با استفاده از مواد سفیدکننده در مطب دندانپزشکی یا به صورت خانگی انجام میشود. مواد فعال به داخل ساختار دندان نفوذ کرده و رنگدانهها را اکسید میکنند. |
| مواد بلیچینگ دندان | مواد مورد استفاده شامل هیدروژن پراکسید یا کاربامید پراکسید است که با تغییر ساختار شیمیایی رنگدانهها، دندانها را سفید میکنند. |
| آیا بلیچینگ ضرر دارد؟ | اگر بلیچینگ زیر نظر دندانپزشک انجام شود، آسیبی به مینای دندان وارد نمیکند. تنها ممکن است حساسیت موقت ایجاد شود که معمولاً رفع میشود. |
| ماندگاری بلیچ دندان | معمولاً بین ۶ ماه تا یک سال ماندگاری دارد و با مراقبت مناسب این بازه زمانی میتواند افزایش یابد. |
| بلیچ دندان برای چه افرادی مناسبه؟ | مناسب برای افراد با لثههای سالم و دندانهای طبیعی است. افرادی با دندانهای ترمیمی یا مشکلات لثه ممکن است گزینه مناسبی نباشند. |
| بلیچینگ چقدر زمان میبرد؟ | در مطب، بلیچینگ در یک یا دو جلسه انجام میشود و نتایج ظرف چند ساعت مشاهده میشود. در خانه، معمولاً ۲ تا ۴ هفته زمان میبرد. |


راهنمای صوتی
بلیچینگ دندان چیست؟
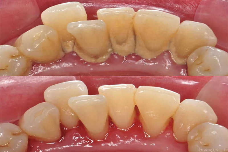
(بلچینگ) بلیچینگ دندان یکی از متداولترین و مشهورترین روشها برای سفید کردن رنگ دندان است. بر همین اساس بسیاری از افراد این روش را انتخاب میکنند و در سال های اخیر شاهد افزایش استفاده از انواع بلیچینگ دندان در مراکز دندانپزشکی زیبایی تهران و سایر شهرهای کشور هستیم. سفيد كردن دندان به روش بليچينگ با استفاده از یک ماده سفیدکننده انجام میشود. این ماده میتواند به صورت ژل، نوار یا خمیر دندان باشد. ژل سفیدکننده حاوی پراکسید هیدروژن یا پراکسید کاربامید است که این مواد با شکستن مولکولهای رنگدانه، دندانها را سفید میکنند.
این فرآیند به دو صورت قابل انجام است:
- در روش اول دندانپزشک با استفاده از مواد مخصوص سفیدکننده و گاه استفاده از لیزر یا سایر روشها در چند جلسه دندانهای شما را سفید مینماید.
- در روش دوم دندانپزشک از فک شما یک قالب تهیه میکند و مواد مخصوص دیگری را به شما میدهد و از شما میخواهد تا این ماده را شبها داخل قالب گذاشته و روی دندانهایتان قرار دهید. روش دوم ۲ تا ۳ هفته زمان میبرد ولی مواد سفید کنندهای که در آن استفاده میشود ملایم تر و امکان آسیب جانبی کمتر است. البته نتیجه درمان هر دو یکسان است.
بلیچینگ دندان چگونه انجام می شود؟
در روش بلیچینگ دندان و نحوه انجام بلیچینگ، دندانها با یک ماده اکسیدان سفید میشوند. بدین صورت که با جذب در سوراخها و لایههای میکروسکوپی دندانها و اعمال یک سری تغییرات شیمیایی، رنگ دندانها را سفید میکند. نکته قابل توجه اینکه در عمل بلیچینگ، مینای دندان سائیده نمیشود و از همه مهمتر هیچگونه آسیبی به بافت و ساختار دندانها وارد نمیکند. بنابراین با خیال آسوده از بابت کیفیت عملکرد و عدم آسیب به ساختار و مینای دندان، میتوانید از بلیچینگ استفاده نمایید.


مواد اکسید کننده به داخل ساختار کریستالی میله مانند مینای دندان نفوذ کرده و رنگیزههای رسوب کرده در بین هرمهای مینائی را اکسید میکنند. با گذشت زمان نفوذ مواد اکسید کننده به داخل عاج دندان که در لایه زیرین مینا قرار داردنیز صورت گرفته و رنگ آن نیز روشن تر میشود.
در سالهای اخیر محصولات زیادی نیز برای سفیدکردن در داروخانهها وسوپرمارکتها ارائه میشوند که غلظتی کمتر از ده درصد دارند وبه علت نظارت نداشتن دندانپزشک بر مراحل درمان استفاده از آنها توصیه نمیگردد.
مواد بلیچینگ دندان چیست؟
بلیچ دندان توسط دندانپزشکان با مواد شیمیایی که بخش عمده آن هیدورژن پراکسید است انجام میشود. مواد مبتنی بر پراکسیدها برای تغییر رنگهای داخلی و خارجی دندان استفاده میشود و به تدریج از مینای دندان عبور کرده و با نفوذ در عاج رنگ دندان را روش میکنند.


بلیچ دندان چقدر طول میکشد؟
وقتی بیماران به انجام فرایند سفیدکردن دندان فکر میکنند، اولین سؤالی که معمولاً میپرسند، این است که: «سفیدکردن دندانها چقدر زمان میبرد؟» بااینحال، پاسخ این سؤال به عوامل مختلفی از جمله شرایط دندانها، دلایل تغییر رنگ آنها و نوع درمانی که بیمار انتخاب میکند، بستگی دارد.
در مورد سفیدکردن دندانها مهم است بدانید که مقدار زمان لازم به میزان لکهها و تغییر رنگ دندانها هم بستگی دارد. روش اول یعنی بلیچینگ دندان در خانه (Home bleaching)، معمولاً سه تا چهار هفته طول میکشد و مدت زمان هر بار استفاده از محصول سفیدکننده معمولاً بین ۳۰ دقیقه تا یک ساعت است. تعداد دفعات استفاده بستگی به میزان لکهها دارد.
در روش مراجعه به مطب دندانپزشکی، معمولاً یک درمان حضوری در یک یا دو جلسه تکمیل و نتایج ظرف چند ساعت مشاهده میشود.
محصولات سفیدکننده خانگی یا بدون نسخه معمولاً نیاز به حداقل یک ماه استفاده شبانه دارند تا شروع به اثرگذاری کنند. علاوهبراین، محصولات بدون نسخه اغلب از محافظهایی استفاده میکنند که ممکن است محلول را روی لثهها پخش کنند و همه دندانها را بهخوبی نپوشانند.
انواع بلیچینگ دندان
بلیچینگ دندان به سه روش اصلی انجام میشود. روش اول انجام بلیچینگ در مراکز دندانپزشکی، روش دوم بلیچینگ در منزل و روش سوم به صورت ترکیبی از دو روش یاده شده، می باشد.
1- بلیچینگ دندان در خانه (Home bleaching)
این سری از انواع بلیچینگ دندان توسط متخصص دندانپزشکی و در منازل انجام می شود. بدین صورت که ابتدا متخصص از دندان های بیمار یک قالب تهیه نموده و سپس براساس آن یک تری های پلاستیکی نازک و شفاف می سازند و این دندان ها قرار می دهند. تا ضمن ایجاد فضای مناسب بین تری ها و دندان ها، فرآیند بلیچینگ برای سفید و زیبا شدن دندان ها انجام شود. خاطر نشان می شود برای انجام بلیچینگ دندان می بایست یک سری اقدامات و مراقبت ها را انجام دهید. بنابراین قبل از انجام بلیچینگ در خانه با پزشک متخصص مشورت نمایید و ضمن رعایت تمامی موارد و فراهم نمودن اقلام موردنیاز، از این خدمت منحصر به فرد برای داشتن دندان های سفید، زیبا و جذاب بهره مند شوید. البته توجه داشته باشید که این روش سفید کردن دندان ها طی ۳ الی ۴ هفته به طول می انجامد. بنابراین اگر از نظر بازه زمانی و سایر شرایط مشکلی ندارید، می توانید در خانه اقدام به بلیچینگ دندان هایتان کنید.
2- بلیچینگ دندان در مطب دندانپزشکی (Office bleaching)
این سری از انواع بلیچینگ دندان در مطب های دندانپزشکی و زیرنظر دندانپزشکان متخصص انجام می شود. از نظر نحوه عملکرد و انجام عمل بلیچینگ، کاملاً شبیه به روش خانگی است. منتهی با این تفاوت که غلظت ژل های مورد استفاده در مطب ها به نسبت بالاتر می باشد و برای مدت زمان کوتاهی روی دندان ها قرار میگیرد. بدین نحو علاوه بر افزایش کیفیت بلیچینگ دندان، سفید شدن دندانها با سرعت بیشتری انجام میشود. در واقع این ویژگی بارز سبب شده تا بسیاری افراد بلیچینگ در مطب را انتخاب کنند. البته در این خصوص میزان تجربه و تخصص دندانپزشک، کیفیت مواد اولیه و تجهیزات دندانپزشکی تأثیر بسزایی در کیفیت بلیچینگ دندان دارد. بنابراین قبل از انجام به این موارد توجه ویژه داشته باشید و سپس اقدام به سفید کردن دندانهایتان کنید.
3- بلیچینگ ترکیبی
همانطور که از نام این روش بلیچینگ پیداست، به صورت ترکیبی از روش در خانه و مطب انجام می شود. بدین صورت که بخشی از آن در خانه (دو هفته) و بخشی دیگر در مطب دندانپزشکی (یک جلسه) انجام میگردد. برای بهره مندی از این روش با متخصص دندانپزشکی ارتباط بگیرید و اقدامات و هماهنگیهای لازم را انجام دهید.
بلیچینگ برای چه افرادی مناسب است؟
بلیچینگ برای چه دندانی مناسب است؟ در واقع بهترین کاندیدا برای بلیچ و سفید کردن دندان، افرادی هستند که لثههای سالم دارند و قصد دارند که دندانها را سفید و درخشان کنند. باید دقت کنید که دندانهای کج و بدرنگ بهتر است از روشهای دیگر اصلاح طرح لبخند استفاده کنند. پیشگیری از پوسیدگی دندان یکی از مهمترین اقدامات برای حفظ سلامت دهان و دندان است. روش های جلوگیری از پوسیدگی دندان شامل مسواک زدن منظم و رعایت نکات بهداشتی است که میتوانید استفاده کرده تا از معجزات زیبایی دندانپزشکی مانند بلیچینگ نیز بهره ببرید.
چه افرادی نمی توانند بلیچ دندان انجام دهند؟
- افراد با لثههای حساس به همراه عفونت لثه
- افراد با پوسیدگی دندان
- افراد با سایش دندان زیاد دارد.
- دندانهای ترمیمی و روکش دار، مناسب بلیچینگ نیستند و مواد بلیچینگ روی مواد ترمیمی و سرامیکی این نوع دندانها تاثیر ندارد.
بلیچ دندان برای چه سنی مناسب است؟
انجمن دندانپزشکان کودکان آمریکا (AAPD) توصیه نمیکند که والدین دندانهای شیری کودکان خود را سفید کنند. همچنین، این انجمن سفیدکردن دندان کودکان را تا زمانی که تمام دندانهای دائمی آنها کاملاً بیرون آمده باشند، منع میکند. پساز بیرونآمدن همه دندانهای دائمی، کودکان تنها باید توسط دندانپزشک و نه با استفاده از کیتهای خانگی یا هر درمانی که از اینترنت خریداری شدهاند، دندانهای خود را سفید کنند.
نوجوانانی که تمام دندانهای دائمی خود را دارند و دندانپزشک آنها تأیید کرده است که سفیدکردن دندان برایشان بیخطر است، میتوانند این درمان را انجام دهند. اگر نوجوان شما در مورد رنگ دندانهایش ناراحت است، سفیدکردن دندانها راهی غیرتهاجمی برای افزایش اعتمادبهنفس او در مورد لبخندش است.
ماندگاری بلیچینگ دندان
بلیچینگ یکی از روش های سفید کردن دندان به صورت موقت است. به طور معمول میزان دوام و ماندگاری بلیچینگ دندان بین 6 ماه تا یک سال است. اما با توجه به مواردی نظیر کیفیت مواد اولیه، نحوه انجام بلیچینگ، تخصص دندانپزشک و مراقبت صحیح از دندان ها ممکن است این بازه زمانی افزایش یافته یا کاهش پیدا کند.
مزایا و معایب بلیچینگ دندان
تقریبا همه ممکن است بپرسند آیا بلیچینگ دندان خوب است یا خیر؟ باید گفت بلیچینگ دندان مانند هر روش درمان دیگری مزایا و معایب خاص خود را دارد که در ادامه به آنها اشاره میکنیم.


مزایای بلیچینگ دندان چیست؟
بلیچینگ دندان می تواند مزایای زیادی را برای شما داشته باشد، از جمله:
- دندان های سفیدتر و روشن تر: بلیچینگ دندان میتواند دندان های شما را تا چند درجه روشنتر کند.
- افزایش اعتماد به نفس: داشتن دندانهای سفیدتر میتواند اعتماد به نفس شما را افزایش دهد و باعث شود احساس بهتری نسبت به ظاهر خود داشته باشید.
- بهبود ظاهر کلی دندان ها: بلیچینگ دندان میتواند به بهبود ظاهر کلی دندانها کمک کند و باعث شود دندانهای شما سالمتر و زیباتر به نظر برسند.
اگر علاقهمند به بلیچینگ دندان هستید، باید با دندانپزشک خود صحبت کنید تا ببینید که آیا این روش برای شما مناسب است یا خیر. بهترین زمان مراجعه به دندانپزشک تنها با احساس درد دندان و یا مشکلات عفونتی لثهها نیست، دندانپزشک شما میتواند به شما کمک کند تا تصمیم بگیرید که کدام روش بلیچینگ دندان برای شما بهترین است و خطرات و مزایای هر روش را برای شما توضیح دهد.
عوارض ناشی از بلیچ دندانها چیست؟
| عارضه | توضیح | شدت معمول | روش پیشگیری / درمان |
|---|---|---|---|
| حساسیت دندانها | حساس شدن دندانها به دما یا لمس | خفیف تا متوسط | استفاده از خمیردندان مخصوص دندانهای حساس، کاهش دفعات بلیچینگ، مشورت با دندانپزشک |
| تورم لثهها | التهاب یا ورم لثهها | خفیف | رعایت دقیق دستورالعملها، شستشو با آب سرد، مشورت با دندانپزشک |
| تحریک دهان | سوزش یا ناراحتی در دهان | خفیف | شستشو با آب سرد، استفاده کوتاه مدت از عوامل سفیدکننده، مشورت با دندانپزشک |
| سفیدشدن بیشازحد | تغییر رنگ غیرطبیعی دندانها به آبی یا خاکستری | متوسط | رعایت غلظت و مدت زمان مناسب ژل، مشورت با دندانپزشک |
| سوختگی و تاول لثهها | آسیب بافت لثه | نادر | شستشو با آب سرد، استفاده از ژل بیحسکننده، مراجعه به دندانپزشک در صورت ادامه درد |
| واکنشهای آلرژیک | کهیر، تورم لب، زبان یا تنگی نفس | نادر، شدید | فوراً مراجعه به پزشک یا دندانپزشک، اجتناب از عوامل سفیدکننده حساسیتزا |
| ناراحتی معده | بلعیده شدن ماده سفیدکننده | نادر | نوشیدن مایعات زیاد، رژیم غذایی ملایم |
| زبرشدن دندانها | خشکی و زبری سطح دندان | نادر تا متوسط | استفاده از خمیردندان و دهانشویه فلورایددار، فلوراید تراپی، مصرف مسکن در صورت نیاز، مشورت با دندانپزشک |
در اینجا برخی از معایب بلیچینگ دندان آورده شده است:
- حساسیت دندان ها: برخی از افراد ممکن است پس از بلیچینگ دندان، حساسیت دندان را تجربه کنند. این حساسیت معمولاً خفیف است و پس از چند روز برطرف می شود.
- تورم لثه ها: برخی از افراد ممکن است پس از بلیچینگ دندان، نشانه های علت ورم لثه را تجربه کنند. این تورم معمولاً خفیف است و پس از چند روز برطرف میشود.
- تحریک دهان: برخی از افراد ممکن است پس از بلیچینگ دندان، تحریک دهان را تجربه کنند. این تحریک معمولاً خفیف است و پس از چند روز برطرف میشود.
- سفیدشدن بیشازحد: این حالت معمولاً در دندانهای سفیدشده در خانه اتفاق میافتد؛ زیرا بیماران تمایل دارند برای رسیدن به نتایج سریعتر از عوامل سفیدکننده بهطور بیشازحد استفاده کنند. سفیدکردن بیشازحد دندانها میتواند باعث شفافشدن آنها شود و رنگ زرد دنتین بیشتر دیده شود. همچنین میتواند باعث تغییر رنگ دندانها به آبی یا خاکستری شود. برای جلوگیری از این اتفاق با دندانپزشک خود در مورد تعداد دفعات سفیدکردن دندانها و غلظت مناسب عامل سفیدکننده بپرسید. همچنین دندانپزشک میتواند به شما کمک کند تا مدت زمان مناسب برای ماندن عامل سفیدکننده روی دندانها را تعیین کنید؛
- سوختگی و تاول: در موارد نادر، عوامل سفیدکننده مورد استفاده در سفیدکردن دندانها میتوانند باعث سوختگی یا تاول در لثهها شوند. این حالت معمولاً زمانی اتفاق میافتد که ژل مورد استفاده برای مدت طولانی روی دندانها باقی بماند یا بهدرستی اعمال نشود. اگر بعداز سفیدکردن دندانها سوختگی یا تاول در لثهها داشتید، میتوانید دهان خود را با آب سرد بشویید و از ژل بیحسکننده موضعی استفاده کنید. اگر درد ادامه داشت به دندانپزشک مراجعه کنید؛
- واکنشهای آلرژیک: در برخی موارد، ممکن است به عوامل سفیدکننده واکنش آلرژیک نشان دهید. علائم این واکنش میتواند شامل کهیر، تنگی نفس، تورم صورت، لبها و زبان باشد. در صورت بروز هر یک از این علائم بعداز سفیدکردن دندانها، فوراً به دندانپزشک یا پزشک خود مراجعه کنید؛
- ناراحتی معده: این حالت معمولاً زمانی اتفاق میافتد که عوامل سفیدکننده در طی فرایند بلعیده شوند. اگر بعداز سفیدکردن دندانها ناراحتی معده داشتید، سعی کنید مقدار زیادی مایعات بنوشید و از رژیم غذایی ساده و ملایم پیروی کنید؛
- زبرشدن دندانها: متأسفانه، این درمان ممکن است باعث زبرشدن دندانها هم بشود. این حالت معمولاً زمانی اتفاق میافتد که عوامل سفیدکننده برای مدت طولانی روی دندانها باقی بمانند. اگر دندانهایتان بعداز سفیدکردن زبر شد، میتوانید از خمیردندانهای مخصوص دندانهای حساس استفاده کنید یا دهان خود را با دهانشویه فلورایددار بشویید. همچنین میتوانید از مسکنهای بدون نسخه مثل ایبوپروفن یا استامینوفن برای تسکین هرگونه ناراحتی استفاده کنید. اگر این حالت ادامه داشت با دندانپزشک خود صحبت کنید. فلوراید تراپی یک روش درمانی پیشگیرانه است که در آن از فلوراید، یک ماده معدنی طبیعی، برای تقویت مینای دندان استفاده میشود. فلوراید به مینای دندان کمک میکند تا در برابر اسیدهای تولیدشده توسط باکتریها مقاومتر شود.
هزینه بلیچینگ دندان
بلیچینگ دندان در مطب دندانپزشکی در حال حاضر معمولاً بین 500 تا 1000 دلار هزینه دارد. این روش معمولاً در یک جلسه انجام می شود و دندانپزشک از یک ژل سفیدکننده با غلظت بالا استفاده می کند که با استفاده از یک دستگاه لیزر فعال می شود.
بلیچینگ دندان در خانه معمولاً بین 200 تا 500 دلار هزینه دارد. این روش شامل استفاده از یک ژل سفیدکننده با غلظت پایین است که در قالبهای دندانی مخصوصی قرار میگیرد. شما باید این ژل را به طور منظم در قالبهای دندانی قرار دهید و برای چند روز استفاده کنید.
عوامل مختلفی وجود دارند که میتوانند بر هزینه بلیچینگ دندان تأثیر بگذارند، از جمله:
- نوع روش بلیچینگ دندان
- دندانپزشک شما
- منطقه ای که در آن زندگی می کنید
- تعداد جلسات بلیچینگ دندان
بلیچینگ چقدر دندانها را سفید میکند؟
میزان سفیدی دندانها پساز بلیچینگ به چند عامل، از جمله وضعیت اولیه دندانها، نوع لکهها و روش بلیچینگ بستگی دارد؛ اما بهطورکلی، بلیچینگ میتواند دندانها را چند درجه روشنتر از رنگ فعلیشان کند.
عوامل مؤثر بر میزان سفیدی دندانها در بلیچینگ عبارتاند از:
- شدت تغییر رنگ دندانها: لکههای سطحی ناشی از مصرف قهوه، چای، سیگار یا غذاهای رنگی معمولاً بهخوبی و بهسرعت با بلیچینگ از بین میروند. لکههای عمیقتر (مانند لکههای ناشی از داروهایی مثل تتراسایکلین) ممکن است کمتر پاسخ دهند و نیاز به جلسات بیشتری داشته باشند؛
- رنگ اولیه دندان: افرادی که دندانهایشان زرد هستند، معمولاً نتایج بهتری از بلیچینگ میگیرند؛ اما دندانهایی با رنگ خاکستری یا قهوهای ممکن است نتایج محدودتری داشته باشند؛
- روش بلیچینگ: بلیچینگ در مطب با استفاده از مواد قویتر و تکنولوژیهایی مانند لیزر یا نور آبی انجام میشود که میتواند دندانها را ۶ تا ۸ درجه روشنتر کند. در بلیچینگ خانگی با محصولات تخصصی، نتایج ممکن است تدریجیتر باشد؛ اما معمولاً تا ۴ الی ۶ درجه روشنایی به دست میآید.
توجه داشته باشید که رنگ پرکردگیها، تاجها یا ونیرها با بلیچینگ تغییر نمیکند و ممکن است نیاز به تعویض یا تطبیق رنگ داشته باشند.
اهمیت سفید بودن رنگ دندان
به طور کلی رنگ دندان یکی از موارد اساسی در زیبایی لبخند است. به لحاظ اینکه دندانهای بد رنگ ظاهر دندانها را تحت تأثیر قرار میدهد و موجب به هم ریختگی طرح لبخند میگردد. در این راستا یکی از بهترین و مؤثرترین روش برای رفع این مشکل و اصلاح طرح لبخند، سفيد كردن دندان با بليچينگ است.
چرا دندانها ممکن است تغییر رنگ بدهند و به بلیچینگ نیاز پیدا کنند؟
عوامل مختلفی میتوانند باعث تغییر رنگ دندانها شوند. برخی از این عوامل قابلاجتناب هستند و برخی دیگر غیرقابلاجتناب.
عوامل قابلاجتناب تغییر رنگ دندانها شامل موارد زیر میشوند:
- خوردن و نوشیدن غذاها و نوشیدنی های رنگی: برخی از غذاها و نوشیدنی ها مانند قهوه، چای، نوشابه های گازدار و آب میوه های تیره رنگ می توانند باعث تغییر رنگ دندان ها شوند.
- سیگار کشیدن: سیگار کشیدن یکی از مهمترین عوامل تغییر رنگ دندان ها است. نیکوتین و سایر مواد موجود در دود سیگار میتوانند به مینا دندان آسیب برسانند و باعث تغییر رنگ آن شوند. توجه داشته باشید که ایمپلنت در افراد سیگاری نیز با مشکلاتی روبه رو بوده و هم مصرف سیگار باعث عفونت دهان و دندان خواهد شد.
- بهداشت دهان و دندان ضعیف: لکهها به پلاک دندانی میچسبند. اگر پلاکها را با مسواکزدن و نخ دندانکشیدن منظم از بین نبرید، احتمال تغییر رنگ دندانها بیشتر میشود؛
- فلوراید بیشازحد: فلوراید در مقادیر مناسب یک راه عالی برای محافظت از دندانها در برابر پوسیدگی است. بااینحال، افرادی که در دوران کودکی مقادیر زیادی فلوراید مصرف میکنند، ممکن است دچار فلوئوروزیس شوند؛ وضعیتی که باعث ایجاد لکههای سفید روی مینای دندان میشود.
عوامل غیرقابلاجتناب تغییر رنگ دندانها شامل موارد زیر هستند:
- داروها: برخی از داروها مانند تتراسایکلین میتوانند باعث تغییر رنگ دندانها شوند. این داروها به ویژه در کودکانی که دندان هایشان هنوز در حال رشد هستند میتوانند باعث تغییر رنگ دندانها شوند.
- تروماتیک دندان: آسیبهای دندانی مانند ضربه یا شکستگی میتوانند باعث تغییر رنگ دندانها شوند.
- سن: با افزایش سن، مینا دندان نازکتر میشود و عاج دندان بیشتر در معرض دید قرار میگیرد. عاج دندان رنگ تیره تری نسبت به مینا دارد و این میتواند باعث تغییر رنگ دندانها شود.
- ژنتیک: رنگ طبیعی، روشنایی و شفافیت دندانها از فردی به فرد دیگر متفاوت است؛
- درمانهای دندانپزشکی: برخی از مواد دندانپزشکی مانند آمالگام نقرهای که در پرکردگیهای فلزی استفاده میشود، میتوانند دندانها را خاکستری کنند. درمانهای عصبکشی هم در برخی موارد ممکن است باعث تغییر رنگ دندان شوند؛
- برخی بیماریها: برخی بیماریها مانند بیماری کبد، بیماری سلیاک، کمبود کلسیم، اختلالات تغذیهای و بیماریهای متابولیک میتوانند باعث تغییر رنگ دندان شوند؛
- درمانهای سرطان: شیمیدرمانی یا پرتودرمانی سر و گردن میتوانند باعث تغییر رنگ دندان شوند.


بلیچینگ دندان و سفیدکردن دندان چه تفاوتی دارند؟
وقتی دندانهای شما کدر، لکهدار یا تیره به نظر میرسند و تصمیم میگیرید آنها را روشنتر کنید، آیا باید سفیدکردن یا بلیچینگ را انتخاب کنید؟ هر دو فرایند دندانهای شما را روشنتر میکنند؛ اما تفاوتهایی بین آنها وجود دارد.
فرایند سفیدکردن یک اصطلاح عام است که به هر فرایندی گفته میشود که رنگ طبیعی دندانهای شما را بازیابی میکند، لکهها و تیرگیها را از بین میبرد و باعث میشود دندانهایتان بهتر از قبل به نظر برسند؛ اما رنگ طبیعی آنها را تغییری نمیدهد. در مقابل، فرایند بلیچینگ دندانهای شما را فراتر از رنگ طبیعیشان سفیدتر میکند.
طبق نظر سایت webmd:
The terms “whitening” and “bleaching” are sometimes used interchangeably, but they don’t always mean the same thing. Teeth whitening can be done with either bleaching or non-bleaching products. Bleaching is the type of whitening that involves using bleach containing peroxide. It cleans both deep and surface stains and can make teeth even whiter than their natural shade.
اصطلاحات “سفید کننده” و “بلیچینگ” گاهی اوقات به جای یکدیگر استفاده می شوند، اما آنها همیشه به یک معنی نیستند. سفید کردن دندان ها را می توان با مواد سفید کننده یا غیر سفید کننده انجام داد. بلیچینگ نوعی سفید کننده است که شامل استفاده از سفید کننده حاوی پراکسید است. هم لکه های عمیق و هم لکه های سطحی را پاک می کند و می تواند دندان ها را حتی سفیدتر از سایه طبیعی شان کند.
بیشتر افراد تمایل دارند دندانهایشان روشنتر و سفیدتر به نظر برسند و معمولاً از اصطلاحات سفیدکردن و بلیچینگ بهجای یکدیگر استفاده میکنند. بااینحال، درک تفاوت میان این دو میتواند به شما کمک کند تا روش مناسب را برای دندانهای خود انتخاب کنید.
تفاوت بلیچینگ با جرم گیری
در هنگام جرمگیری دندان رسوبات رنگی و املاح ته نشین شده بر روی دندان شما را برداشته می شود و در نتیجه رنگ داخلی دندان تغییر نخواهد کرد. ولی در بلیچینگ مولکولهای پر اکسید هیدروژن به داخل ساختار مینایی و عاجی دندان نفوذ کرده و باعث اکسید شدن رنگ دانهها شده که نهایتا به سفید شدن دندان میانجامد. به عبارت دیگر میتوان گفت بلیچینگ به نسبت بهتر از جرم گیری می باشد و به همین سبب در بسیاری از مراکز تخصصی دندانپزشکی از این روش برای سفید کردن دندانها استفاده میکنند. چرا که دندان ها را از هر نظر سفیدتر و زیباتر میکند و موجب بهبود زیبایی لبخند میگردد.


آیا بلیچینگ دندان عصبکشیشده امکانپذیر است؟
بلیچینگ دندان عصبکشیشده امکانپذیر است؛ اما روش آن با بلیچینگ دندانهای سالم تفاوت دارد. دندانهایی که عصبکشی شدهاند، ممکن است بهدلیل تغییرات در ساختار داخلی دندان یا وجود خون و مواد آلی باقیمانده، تغییر رنگ بدهند. این نوع تغییر رنگ معمولاً از داخل دندان شروع میشود؛ بنابراین روش درمان نیز باید بهصورت داخلی انجام شود.
علل تغییر رنگ دندان پساز عصبکشی
تغییر رنگ دندان پساز عصبکشی ممکن است به دلایل زیر رخ دهد:
- تجزیه بافت پالپ: در طول عصبکشی، بافت پالپ عفونی داخل دندان برداشته میشود. با گذشت زمان، باقیماندههای این بافت ممکن است تجزیه و باعث تغییر رنگ شوند؛
- داروها و مواد مورد استفاده: برخی داروها و موادی که در طول فرایند عصبکشی استفاده میشوند، میتوانند به دندان نفوذ و به تغییر رنگ آن کمک کنند؛
- نشت خون: آسیبدیدگی به دندان میتواند باعث نشت خون به داخل عاج دندان شود که نتیجه آن ظاهر تیرهتر دندان است؛
- قطع جریان خون: دندانی که عصبکشی شده است، دیگر خونرسانی نمیشود و این موضوع میتواند باعث شود که دندان نسبت به دندانهای اطراف تیرهتر به نظر برسد.
روشهای سفیدکردن دندان پس از عصبکشی
چند روش برای سفیدکردن دندان پساز عصبکشی وجود دارد که هر یک اثربخشی متفاوتی دارند:
سفیدکردن داخلی
سفیدکردن داخلی که به آن سفیدکردن غیر زنده هم گفته میشود، روشی است که در آن ماده سفیدکننده داخل دندان قرار داده میشود. این روش اغلب برای دندانهایی که بهدلیل عصبکشی تغییر رنگ دادهاند، موثرترین گزینه است.
در این روش، دندانپزشک یک حفره کوچک در پشت دندان ایجاد میکند، ماده سفیدکننده را داخل دندان قرار میدهد و سپس بهطور موقت دندان را میبندد. این فرایند ممکن است چند بار تکرار شود تا سفیدی مطلوب حاصل شود.
سفیدکردن خارجی
روشهای سفیدکردن خارجی، مانند نوارهای سفیدکننده موجود در بازار یا درمانهای حرفهای سفیدکننده میتوانند برای سفیدکردن سطح خارجی دندان استفاده شوند. بااینحال، این روشها ممکن است برای دندانهای عصبکشیشده چندان مؤثر نباشند؛ زیرا تغییر رنگ اغلب منشأ داخلی دارد.
استفاده از قالبهای سفیدکننده سفارشی که توسط دندانپزشک تهیه میشوند، میتواند نتایج بهتری نسبت به محصولات موجود در بازار داشته باشند.
لمینت
اگر سفیدکردن دندان مؤثر نباشد، لمینتها میتوانند گزینهای مناسب باشند. لمینتها پوستههای نازکی از جنس پرسلن یا رزین کامپوزیت هستند که بهصورت سفارشی ساخته میشوند و روی سطح جلویی دندان قرار میگیرند تا تغییر رنگ را بپوشانند. لمینتها راهحلی ماندگار و طبیعی هستند؛ اما برای قرارگیری آن باید مقدار کمی از مینای دندان برداشته شود. انتخاب بهترین نوع لمینت دندان اهمیت فراوانی دارد. تا ضمن به کارگیری صحیح و مناسب، شاهد کیفیت و ماندگاری آن تا مدت زمان طولانی باشید.
روکش دندانی
در موارد تغییر رنگ شدید یا آسیب ساختاری به دندان ممکن است روکش دندانی توصیه شود. روکش یک کلاهک است که کل دندان را میپوشاند و ظاهر و عملکرد آن را بازسازی میکند. روکشها از مواد مختلفی، از جمله پرسلن، سرامیک و فلز ساخته میشوند. از میان این مواد، روکشهای پرسلن و سرامیک بهدلیل ظاهر طبیعیشان محبوبتر هستند. برای مثال، روکش زیرکونیا یکی از مقاومترین و زیباترین انواع روکشهای دندانی است که از دیاکسید زیرکونیوم ساخته میشود و بهدلیل استحکام بالا، شباهت زیاد به دندان طبیعی، سازگاری با بافت دهان و مقاومت در برابر لکه و پوسیدگی بسیار محبوب است
هر چند وقت یکبار باید بلیچینگ دندان انجام دهیم؟
معمولاً به بیماران توصیه میشود که دندانهای خود را بیشازحد سفید نکنند؛ زیرا سفیدکردن بیشازحد میتواند باعث ایجاد حساسیت و شفاف بهنظررسیدن دندانها شود. توصیه میشود که دندانهای خود را چه بهصورت حرفهای و چه در خانه، فقط یکبار در سال سفید کنید.
این کار میتواند از بروز مشکلات حساسیت جلوگیری کند و به شما کمک کند تا لبخندی سفید و طبیعی داشته باشید. بهطور معمول، کیتهای سفیدکننده حرفهای که در مطبهای دندانپزشکی در دسترس هستند، حدود یک سال دوام دارند. این بدان معناست که شما نیازی به ترمیم یا تکرار سفیدکردن برای این مدت نخواهید داشت.
فرق بلیچینگ و دیگر روشها در سفیدی دندان چیست؟
بلیچینگ و دیگر روشهای سفیدکردن دندان برای بهبود رنگ دندانها و سفیدترکردن آنها استفاده میشوند؛ اما از نظر روش، مواد مورد استفاده و نتایج، تفاوتهایی با یکدیگر دارند. در ادامه، انواع مختلف روشهای سفیدکردن دندان را توضیح میدهیم و تفاوتهای آنها را با بلیچینگ بررسی میکنیم.
خمیردندانهای سفیدکننده
این خمیردندانها حاوی مواد ساینده یا آنزیمهایی هستند که به حذف لکههای سطحی ناشی از مواد غذایی، نوشیدنیها و سیگار کمک میکنند. اگرچه این روش تأثیری بر لکههای عمیق ندارد؛ اما دندانها را تا حدی روشنتر میکند و برای استفاده روزانه مناسب است. نتایج آن موقت است و برای افرادی که بهدنبال تغییرات جزئی هستند، گزینهای اقتصادی و آسان محسوب میشود. استفاده از بهترین خمیر دندانهای خارجی و ایرانی هم نتیجه بهتری میدهد و هم سلامت دندانها را تضمین میکند.
جرمگیری و پولیش حرفهای
در این روش، دندانپزشک با ابزارهای خاصی پلاک، جرم و لکههای سطحی روی دندانها را پاک میکند. این روش بیشتر برای تمیزکردن دندان و بهبود سلامت دهان و دندان استفاده میشود و تغییر رنگ قابلتوجهی ایجاد نمیکند. جرمگیری و پولیش باعث میشود دندانها تمیزتر و کمی روشنتر به نظر برسند؛ اما تأثیری بر لکههای داخلی یا تغییر رنگهای عمیق ندارد.
نوارهای سفیدکننده
نوارهای سفیدکننده محصولات آمادهای حاوی مواد بلیچینگ هستند و روی دندانها چسبانده میشوند. این روش به کاهش لکههای سطحی و تا حدی لکههای عمیق کمک میکند و نتایج آن معمولاً بهصورت تدریجی ظاهر میشود. نوارهای سفیدکننده مقرونبهصرفه هستند و استفاده از آنها آسان است؛ اما نتایج آن موقت است و ممکن است برای لکههای شدید مؤثر نباشد.
ژلها و قلمهای سفیدکننده
ژلها و قلمهای سفیدکننده حاوی مواد فعال بلیچینگ هستند که مستقیماً روی دندانها اعمال میشوند. این روش به روشنترشدن دندانها کمک میکند و برای استفاده در خانه طراحی شده است. نتایج آن تدریجی و معمولاً برای لکههای سطحی مناسب است. این روش نسبت به بلیچینگ حرفهای تأثیر کمتری دارد؛ اما بهدلیل قیمت مناسب و راحتی استفاده، گزینهای محبوب برای سفیدکردن دندانها محسوب میشود.
لمینت یا روکشهای دندانی
لمینتها یا روکشهای سرامیکی و کامپوزیتی لایههایی هستند که روی دندانها قرار میگیرند تا رنگ، شکل و اندازه دندانها را بهبود دهند. این روشها، لکههای عمیق و نواقص دندانی را کاملاً پنهان میکنند و دندانها را بسیار سفید و براق نشان میدهند. لمینت و روکش، دائمی هستند و نتایج آنها کاملاً چشمگیر است؛ اما هزینه بالا و نیاز به تراشیدن بخشی از مینای دندان دارند.
سفید کردن دندان به روش غیر بلیچینگ
بلیچینگ، لمینت و کامپوزیت همگی روشهایی برای بهبود ظاهر دندانها هستند، اما تفاوتهایی بین آنها وجود دارد. بلیچینگ یک روش غیر تهاجمی است که از مواد سفید کننده برای روشن کردن رنگ دندانها استفاده میکند. این روش میتواند در مطب دندانپزشکی یا در خانه انجام شود.
لمینتها لایههای نازکی از مواد دندانی هستند که روی سطح دندانها چسبانده میشوند. لمینتها میتوانند برای پوشاندن لکهها، ترکها و سایر مشکلات دندانی استفاده شوند.
کامپوزیتها مواد دندانی هستند که میتوانند برای پر کردن حفرهها، ترمیم ترکها و تغییر شکل دندانها استفاده شوند. کامپوزیتها مانند ونیر کامپوزیت میتوانند به رنگ دندانها مطابقت داده شوند و به صورت مستقیم در مطب دندانپزشکی اعمال میشوند.همچنین علاوه بر روش های ذکر شده می توانید از روش های سفید کردن دندان در خانه نیز استفاده کنید.
نکات مهم در بلیچینگ دندان
اگر علاقه مند به بلیچینگ دندان هستید، باید با دندانپزشک خود صحبت کنید تا ببینید که آیا این روش برای شما مناسب است یا خیر. دندانپزشک شما می تواند به شما کمک کند تا تصمیم بگیرید که کدام روش بلیچینگ دندان برای شما بهترین است و عوارض جانبی احتمالی را درک کنید.
در اینجا برخی از نکات مهم برای سفید کردن دندان آورده شده است:
- قبل از انجام بلیچینگ دندان، با دندانپزشک خود مشورت کنید تا مطمئن شوید که این روش برای شما مناسب است.
- اگر دندان های حساسی دارید، قبل از انجام بلیچینگ دندان با دندانپزشک خود صحبت کنید.
- از بلیچینگ دندان در دوران بارداری یا شیردهی خودداری کنید.
- دستورالعمل های دندانپزشک خود را برای استفاده از ژل سفید کننده دنبال کنید.
- از استفاده بیش از حد از ژل سفید کننده خودداری کنید.
- پس از استفاده از ژل سفید کننده، دهان خود را با آب بشویید.
- از خوردن و نوشیدن غذاها و نوشیدنی های رنگی به مدت چند ساعت پس از استفاده از ژل سفید کننده خودداری کنید.
سوالات متداول
- آیا عمل بلیچینگ موجب آسیب به مینای دندان می شود؟
خیر، بلیچینگ دندان یکی از بهترین و مؤثرترین روش ها برای سفید کردن دندان ها می باشد و هیچگونه آسیبی به مینای دندان و ساختار آن وارد نمی کند. پس با خیال آسوده می توانید از انواع بیچینگ دندان برای داشتن دندان های زیبا و بازیابی طرح لبخند استفاده نمایید.
- میزان ماندگاری بلیچینگ دندان ها چقدر است؟
به طور معمول میزان دوام و ماندگاری بلیچینگ دندان بین 6 ماه تا یک سال است. اما با توجه به مواردی نظیر کیفیت مواد اولیه، نحوه انجام بلیچینگ، تخصص دندانپزشک و مراقبت صحیح از دندان ها ممکن است این بازه زمانی افزایش یافته یا کاهش پیدا کند.
- هزینه انجام بلیچینگ دندان ها چقدر است؟
بلیچینگ دندان نسبت به سایر روش های زیباسازی دندان ها و بازیابی طراحی لبخند بهتر و کم هزینه تر است. البته باید توجه داشته باشید که هزینه انجام این عمل براساس میزان بد رنگی دندان ها، روش بلیچینگ، کیفیت مواد اولیه و تعداد جلسات متفاوت است. به طبع آن با افزایش میزان زردی و بد رنگی دندان ها و همچنین بیشتر شدن تعداد جلسات انواع بلیچینگ دندان، هزینه آن نیز افزایش خواهد یافت.
- هر چند وقت یکبار میتوان بلیچینگ انجام داد؟
توصیه میشود بلیچینگ دندان را بیش از یکبار در سال انجام ندهید تا از حساسیت دندان و آسیب به مینای آن جلوگیری شود.
- بلیچینگ دندان برای چه افرادی مناسب است؟
این روش برای افرادی با دندانهای طبیعی و لثههای سالم مناسب است. افرادی که دندانهای ترمیمی، حساسیت شدید یا مشکلات لثه دارند، باید با دندانپزشک خود مشورت کنند.




10 پاسخ
آها یه چیزی، یه سوال برام پیش اومده که این بلیچ دندان چطوری انجام میشه؟ مثلاً آیا فرقی داره بلیچینگ توی مطب دکتر باشه یا خونه؟ من یه بار خوندم بعضی از کیتها رو میشه توی خونه هم استفاده کرد، ولی نمیدونم واقعاً تأثیرشون مثل چیزای مطبیه یا نه. و اینکه بگید پروسه بلیچینگ درد داره یا نه؟ من یه کم حساسیت دندون دارم! رو فرشی و زیر پایی و اینا هست حالا وسطش باید بپرسید مهمه یا نه؟خلاصه بگید حالا هر چی هست بگید بشینیم فکر کنیم. راستی انواع بلیچینگ دندان هم داره با هم فرق؟
من که خیلی دوست دارم بلیچینگ دندان رو امتحان کنم، ولی راستش یه کمی نگرانی دارم. مثلاً دقیقاً این بلیچینگ دندان چگونه انجام میشود و آیا برای دندونها ضرر داره یا نه؟ یه نگرانیم اینه که بعد از انجامش، دندونها ممکنه حساس بشن یا نه. این تجربهای که قبلاً یکی بهم گفت که دندوناش بعد از بلیچ خیلی حساس شدن ولی نمیدونم تا چه حد واقعیته. حالا این بین نگرانی و کنجکاوی، کسی هست اینجا که قبلاً بلیچینگ دندان انجام داده باشه و بتونه یه کم اطلاعات بیشتری بده که چی شد و اینا؟
بیلیچینگ دندان دردندانپزشکی بهترین روش ودرعین حال باهزینه مناسب برای سفید کردن دندانهاست البت لمینیت دندان هم بسیارکارسازهست که هزینه بالایی دارد
سلام کسی که زیاد قهوه میخوره و سیگار میکشه و دندوناش خیلی تیره شده، با بلیچینگ دندان چند درجه میتونه دندوناشو روشنتر کنه؟ آیا نتیجه قابلتوجهه؟
سلام آیا بلیچینگ دندون میتونه روی پرکردگیها یا کامپوزیتهای دندون تاثیر بذاره و باعث تفاوت رنگ بین دندون طبیعی و مواد ترمیمی بشه؟
سلام من باردار هستم و واقعا دلم میخواد دندونهام رو سفید کنم، اما نگرانم که بلیچینگ دندان در این دوران برای جنینم ضرر داشته باشه. کسی تجربهای داره جایگزین بلیچینگ دندان در بارداری چیه؟
معایب بیلیچیگ از روش های سفید کردن دندان چه چیزی هست ؟
از انواع روش های سفید کردن دندان کدوم روش رو به صورت 100 درصد پیشنهاد می دید ؟
سلام
بلیچینگ دندان چند جلسه طول میکشه و اینکه حدودا چند ماه ماندگاری داره ؟
سلام
برای انجام کامل بلیچینگ دندان چند جلسه مراجعه به مطب نیاز هست ؟